Promotional price valid on web orders only. Your contract pricing may differ. Interested in signing up for a dedicated account number?
Learn More
Learn More
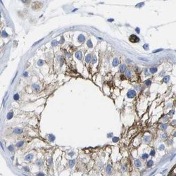
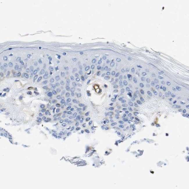
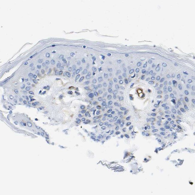
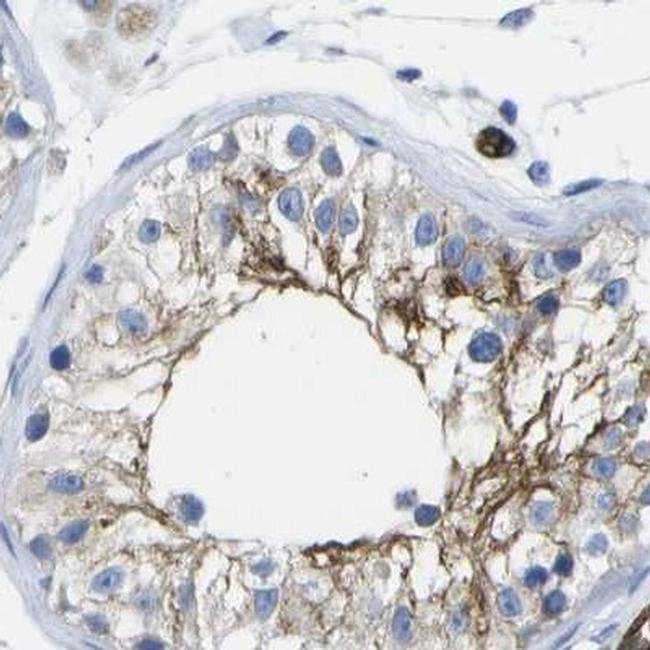
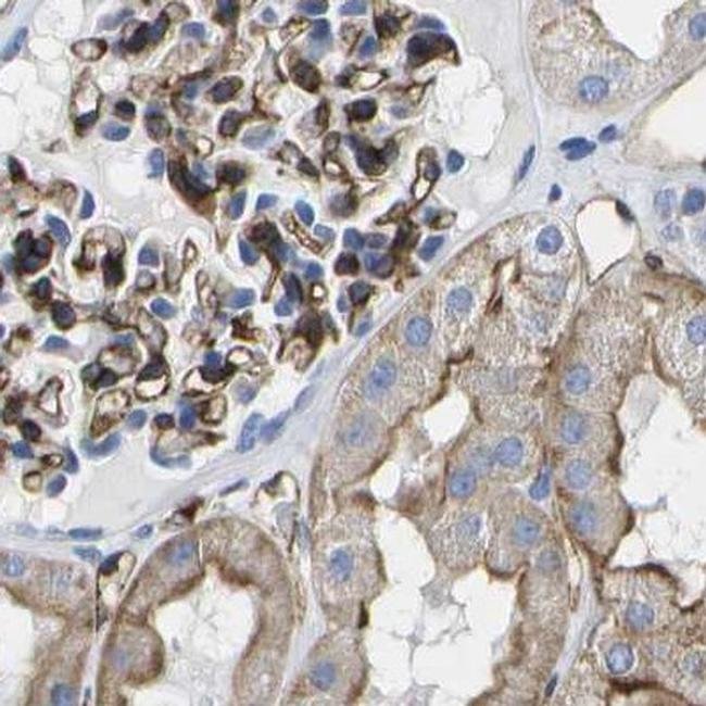
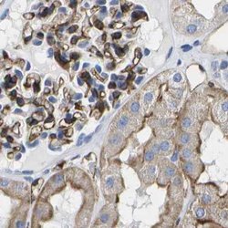
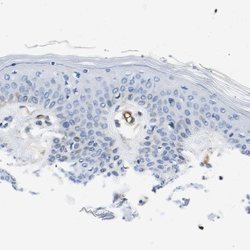
Invitrogen™ Dysferlin Polyclonal Antibody

Rabbit Polyclonal Antibody
Supplier: Invitrogen™ PA553546
Description
Immunogen sequence: IVVELYDHDT YGADEFMGRC ICQPSLERMP RLAWFPLTRG SQPSGELLAS FELIQREKPA IHHIPGFEVQ ETSRILDESE DTDLPYPPPQ REANIYMVPQ NIKPALQRTA IEILAWG Highest antigen sequence identity to the following orthologs: Mouse - 96%, Rat - 96%.
Dysferlin is the protein product of the 2p13 gene that is defective in patients with Limb-Girdle Muscular Dystrophy type 2B (LGMD2B) and Miyoshi Myopathy (MM). Dysferlin is normally localized to the muscle plasma membrane. In patients with LGMD2B and MM, immunoreactivity to dysferlin is severely reduced or lost, depending on the type of mutation. This antibody is used for the characterization of LGMD2B and MM.
Specifications
Dysferlin | |
Polyclonal | |
Unconjugated | |
DYSF | |
2310004N10Rik; AI604795; D6Pas3; Dysf; Dysferlin; dysferlin variant a; dysferlin_a; dystrophy-associated fer-1-like 1; dystrophy-associated fer-1-like protein; FER1L1; fer-1-like family member 1; fer-1-like protein 1; FLJ00175; FLJ90168; LGMD2B; limb girdle muscular dystrophy 2B (autosomal recessive); MMD1 | |
Rabbit | |
Antigen affinity chromatography | |
RUO | |
8291 | |
Store at 4°C short term. For long term storage, store at -20°C, avoiding freeze/thaw cycles. | |
Liquid |
Immunohistochemistry (Paraffin), Immunocytochemistry | |
0.2 mg/mL | |
PBS with 40% glycerol and 0.02% sodium azide; pH 7.2 | |
O75923 | |
DYSF | |
Recombinant protein corresponding to Human Dysferlin. Recombinant protein control fragment (Product #RP-90256). | |
100 μL | |
Primary | |
Human | |
Antibody | |
IgG |
Product Content Correction
Your input is important to us. Please complete this form to provide feedback related to the content on this product.
Product Title
Spot an opportunity for improvement?Share a Content Correction