Learn More
Invitrogen™ E2F3 Polyclonal Antibody

Description
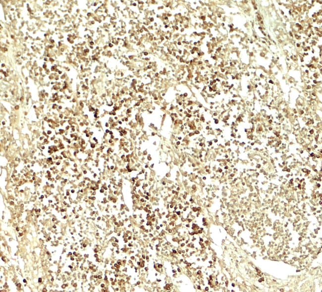
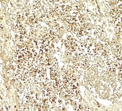
Positive controls that may be used include: Human Lymph node Tissue Lysate, Human Lymphoid Tissue Slide.
Specifications
Specifications
| Antigen | E2F3 |
| Applications | Immunohistochemistry (Paraffin), Western Blot |
| Classification | Polyclonal |
| Concentration | 1 mg/mL |
| Conjugate | Unconjugated |
| Formulation | PBS with 0.02% sodium azide |
| Gene | E2F3 |
| Gene Accession No. | O00716, O35261 |
| Gene Alias | DKFZp686C18211; E2F transcription factor 3; E2f3; E2F-3; E2f3a; E2F3b; KIAA0075; MGC104598; RGD1561600; RP1-177P22.2; Transcription factor E2F3 |
| Gene Symbols | E2F3 |
| Show More |
By clicking Submit, you acknowledge that you may be contacted by Fisher Scientific in regards to the feedback you have provided in this form. We will not share your information for any other purposes. All contact information provided shall also be maintained in accordance with our Privacy Policy.