Promotional price valid on web orders only. Your contract pricing may differ. Interested in signing up for a dedicated account number?
Learn More
Learn More
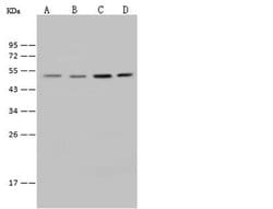
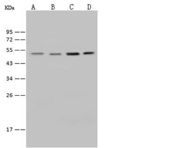
Invitrogen™ E2F4 Polyclonal Antibody

Rabbit Polyclonal Antibody
Supplier: Invitrogen™ PA5112070
Description
This antibody reacts with: Human, Mouse (Species predicted to react based on 100% sequence homology).
E2F transcription factors are functionally regulated by binding to Rb p110, p107, and p130. E2F-4 is regulated by complex formation with Rb p110. E2F family members bind DNA as heterodimers with members of the DP family of polypeptides Differential phosphorylation contributes to the microheterogeniety of E2F-4 (total aa 411-416, varies due to a trinucleotide repeat).
Specifications
| E2F4 | |
| Polyclonal | |
| Unconjugated | |
| E2f4 | |
| 2010111M04Rik; AI427446; E2F transcription factor 4; E2F transcription factor 4, p107/p130-binding; E2F4; E2F-4; p107/p130-binding protein; transcription factor E2F4 | |
| Rabbit | |
| Antigen affinity chromatography, Protein A | |
| RUO | |
| 1874 | |
| Store at 4°C short term. For long term storage, store at -20°C, avoiding freeze/thaw cycles. | |
| Liquid |
| Western Blot, Immunocytochemistry | |
| 1 mg/mL | |
| PBS with 0.03% ProClin 300; pH 7 | |
| Q16254 | |
| E2f4 | |
| A synthetic peptide corresponding to the center region of the Human E2F4. | |
| 100 μL | |
| Primary | |
| Human | |
| Antibody | |
| IgG |
Safety and Handling
WARNING: Cancer - www.P65Warnings.ca.gov
Product Content Correction
Your input is important to us. Please complete this form to provide feedback related to the content on this product.
Product Title
Spot an opportunity for improvement?Share a Content Correction