Promotional price valid on web orders only. Your contract pricing may differ. Interested in signing up for a dedicated account number?
Learn More

E3 ubiquitin-protein ligase RNF31, Rabbit anti-Human, Polyclonal, Millipore Sigma™

Rabbit Polyclonal Antibody

Supplier:  MilliporeSigma ABS148625UG

Catalog No. ABS148625UG


Only null left
Add to Cart

Description

Description

Anti-E3 ubiquitin-protein ligase RNF31, Cat. No. ABS1486, is a rabbit polyclonal antibody that detects E3 ubiquitin-protein ligase RNF31 and has been tested for use in Immunohistochemistry (Paraffin) and Western Blotting.

E3 ubiquitin-protein ligase RNF31 (UniProt: Q96EP0; also known as EC: 2.3.2.27, HOIL-1-interacting protein, HOIP, RING finger protein 31, RING-type E3 ubiquitin transferase RNF31, Zinc in-between-RING-finger ubiquitin-associated domain protein) is encoded by the RNF31 (also known as ZIBRA) gene (Gene ID: 55072) in human. E3 ubiquitin-protein ligase RNF31 is a cytoplasmic protein that is a component of the linear ubiquitin chain assembly complex (LUBAC complex), which conjugates linear ('Met-1'-linked) polyubiquitin chains to substrates and plays a key role in NF-kappa-B activation and regulation of inflammation. LUBAC conjugates linear polyubiquitin to IKBKG (NEMO) and receptor interacting serine/threonine Kinase 1 (RIPK1) and is involved in activation of the canonical NF-kappa-B and the JNK signaling pathways. LUBAC-mediated polyubiquitination interferes with TNF-induced cell death and thereby prevents inflammation. Together with OUTLIN deubiquitinase, the LUBAC complex is also reported to regulate the canonical Wnt signaling pathway during angiogenesis. E3 ubiquitin-protein ligase RNF31 is expressed in both normal and transformed breast epithelial cell lines. It contains a polyubiquitin-binding (PUB) domain (aa 71-142) that mediates interaction with the PCNA-interacting motifs of C-terminus of the AAA+ ATPase p97 (VCP) and RNF31, with a strong preference for RNF3. It also has a ubiquitin-associated (UBA) domain (aa 564-615) that mediates association with RanBP-type and C3HC4-type zinc finger-containing protein 1 (RBCK1/HOIL1) via interaction with its ubiquitin-like (UBL) domain. (Ref.: Elliot, PR et al (2014). Mol. Cell 54(3); 335-48).
TRUSTED_SUSTAINABILITY
Specifications

Specifications

E3 ubiquitin-protein ligase RNF31
Polyclonal
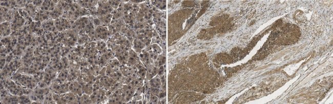
Immunohistochemistry Analysis: A 1:250 dilution from a representative lot detected E3 ubiquitin-protein ligase RNF31 in human adrenal gland and human uterus tissues.
EC: 2.3.2.27;HOIL-1-interacting protein;HOIP;RING finger protein 31;RING-type E3 ubiquitin transferase RNF31;Zinc in-between-RING-finger ubiquitin-associated domain protein
Rabbit
∽120 kDa observed; 119.65 kDa calculated. Uncharacterized bands may be observed in some lysate(s).
25 μg
Signaling
This rabbit polyclonal antibody detects E3 ubiquitin-protein ligase RNF31 in human cells. It targets an epitope within 17 amino acids from the C-terminal region. Immunogen sequence is conserved in all 3 isoforms.
Stable for 1 year at 2-8°C from date of receipt.
Immunohistochemistry (Paraffin), Western Blot
Unconjugated
Purified rabbit polyclonal antibody in buffer containing 0.1 M Tris-Glycine (pH 7.4), 150 mM NaCl with 0.05% sodium azide.
RNF31;ZIBRA
KLH-conjugated linear peptide corresponding to 17 amino acids from the C-terminal region of human E3 ubiquitin-protein ligase RNF31.
Affinity Purified
RUO
Primary
Human
Product Suggestions

Product Suggestions

Videos
SDS
Documents

Documents

Product Certifications
Promotions

Promotions

Product Content Correction

Your input is important to us. Please complete this form to provide feedback related to the content on this product.

Product Title

By clicking Submit, you acknowledge that you may be contacted by Fisher Scientific in regards to the feedback you have provided in this form. We will not share your information for any other purposes. All contact information provided shall also be maintained in accordance with our Privacy Policy.

Your feedback has been submitted: Thank you for helping us improve our website.