Promotional price valid on web orders only. Your contract pricing may differ. Interested in signing up for a dedicated account number?
Learn More
Learn More
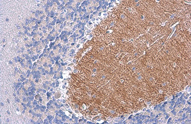
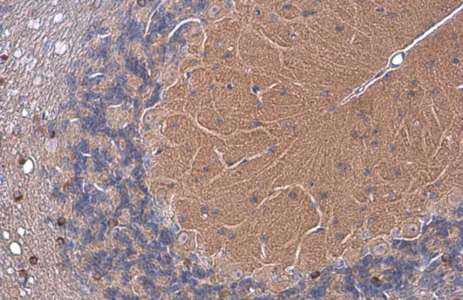
Invitrogen™ EAAT4 Polyclonal Antibody

Rabbit Polyclonal Antibody
Supplier: Invitrogen™ PA5117412
Description
Centrifuge briefly prior to opening.
Slc1a6 encodes a protein that is a glutamate transporters, also known as excitatory amino acid transporters (EAATs), are sodium- and potassium-dependent members of the solute carrier family 6 (SLC1), widely distributed throughout the brain. There are five EAAT subtypes, each with a specific distribution. Sodium-dependent, high-affinity amino acid transporter that mediates the uptake of L-glutamate and also L-aspartate and D-aspartate. Slc1a6 functions as a symporter that transports one amino acid molecule together with two or three Na(+) ions and one proton, in parallel with the counter-transport of one K(+) ion. Slc1a6 also mediates Cl(-) flux that is not coupled to amino acid transport and this avoids the accumulation of negative charges due to aspartate and Na(+) symport. Further, Slc1a6 [lays a redundant role in the rapid removal of released glutamate from the synaptic cleft, which is essential for terminating the postsynaptic action of glutamate (Probable). Diseases associated with SLC1A6 include Dicarboxylic Aminoaciduria.
Specifications
EAAT4 | |
Polyclonal | |
Unconjugated | |
SLC1A6 | |
EAAT4; Excitatory amino acid transporter 4; high affinity aspartate/glutamate transporter; high-affinity neuronal glutamate transporter; Slc1a6; Sodium-dependent glutamate/aspartate transporter; solute carrier family 1 (high affinity aspartate/glutamate transporter), member 6; solute carrier family 1 member 6; solute carrier family 1, member 6 | |
Rabbit | |
Antigen affinity chromatography | |
RUO | |
20513, 84012 | |
Store at 4°C short term. For long term storage, store at -20°C, avoiding freeze/thaw cycles. | |
Liquid |
Immunohistochemistry (Paraffin), Western Blot | |
1.28 mg/mL | |
PBS with 20% glycerol and 0.025% ProClin 300; pH 7 | |
O35544, O35921 | |
SLC1A6 | |
Recombinant protein encompassing a sequence within the C-terminus region of mouse EAAT4. The exact sequence is proprietary. | |
100 μL | |
Primary | |
Mouse, Rat | |
Antibody | |
IgG |
Product Content Correction
Your input is important to us. Please complete this form to provide feedback related to the content on this product.
Product Title
Spot an opportunity for improvement?Share a Content Correction