Learn More
Invitrogen™ EBP1 Recombinant Rabbit Monoclonal Antibody (JE35-48)

Description
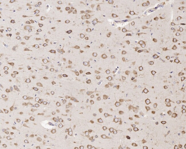
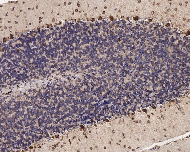
Positive control: K562 cell lysate, HEK-293 cell lysate, PC-12 cell lysate, mouse cerebellum tissue, rat brain tissue, 293, NIH/3T3, PC-12. Predicted band size: 44 kDa Subcellular Location: Cytoplasm, Nucleus.
Specifications
Specifications
| Antigen | EBP1 |
| Applications | Immunohistochemistry (Paraffin), Western Blot, Immunocytochemistry |
| Classification | Recombinant Monoclonal |
| Clone | JE35-48 |
| Concentration | 1 mg/mL |
| Conjugate | Unconjugated |
| Formulation | TBS with 0.05% BSA, 40% glycerol and 0.05% sodium azide; pH 7.4 |
| Gene | Pa2g4 |
| Gene Accession No. | P50580, Q6AYD3, Q9UQ80 |
| Gene Alias | 38kDa; AA672939; Cell cycle protein p38-2G4 homolog; Ebp1; ErbB-3 binding protein 1; ErbB3-binding protein 1; ErbB3-binding protein Ebp1; hG4 1; hG4-1; IRES-specific cellular trans-acting factor 45 kDa; ITAF45; MGC81621; MGC94070; Mpp1; p38 2G4; p38-2G4; Pa2g4; Plfap; proliferation-associated 2G4; proliferation-associated 2G4, 38kD; proliferation-associated 2G4, 38kDa; proliferation-associated protein 1; Proliferation-associated protein 2G4; protein p38-2G4; si:dz150i12.2; wu:fb19b11; wu:ft56d05; zgc:86732 |
| Show More |
By clicking Submit, you acknowledge that you may be contacted by Fisher Scientific in regards to the feedback you have provided in this form. We will not share your information for any other purposes. All contact information provided shall also be maintained in accordance with our Privacy Policy.