Promotional price valid on web orders only. Your contract pricing may differ. Interested in signing up for a dedicated account number?
Learn More
Learn More
Invitrogen™ ECHS1 Polyclonal Antibody

Rabbit Polyclonal Antibody
Supplier: Invitrogen™ PA530013
Description
Recommended positive controls: NT2D1, PC-3, U87-MG, SK-N-SH, Neuro2A, GL261, C8D30. Predicted reactivity: Mouse (92%), Rat (91%), Pig (86%), Bovine (90%). Store product as a concentrated solution. Centrifuge briefly prior to opening the vial.
The protein encoded by this gene functions in the second step of the mitochondrial fatty acid beta-oxidation pathway. It catalyzes the hydration of 2-trans-enoyl-coenzyme A (CoA) intermediates to L-3-hydroxyacyl-CoAs. The gene product is a member of the hydratase/isomerase superfamily. It localizes to the mitochondrial matrix. Transcript variants utilizing alternative transcription initiation sites have been described in the literature.
Specifications
ECHS1 | |
Polyclonal | |
Unconjugated | |
Echs1 | |
C80529; ECHS1; ECHS1D; enoyl CoA hydratase, short chain, 1, mitochondrial; enoyl Coenzyme A hydratase, short chain 1; enoyl Coenzyme A hydratase, short chain, 1, mitochondrial; enoyl-CoA hydratase 1; Enoyl-CoA hydratase short chain 1 mitochondrial; enoyl-CoA hydratase, mitochondrial; enoyl-CoA hydratase, short chain 1; Enoyl-CoA hydratase, short chain 1, mitochondrial; enoyl-CoA hydratase, short chain, 1, mitochondrial; mitochondrial short-chain enoyl-coenzyme A hydratase 1; SCEH; short chain enoyl-CoA hydratase; short-chain enoyl-CoA hydratase | |
Rabbit | |
Antigen affinity chromatography | |
RUO | |
1892, 93747 | |
Store at 4°C short term. For long term storage, store at -20°C, avoiding freeze/thaw cycles. | |
Liquid |
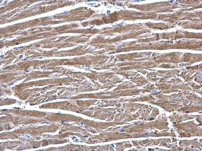
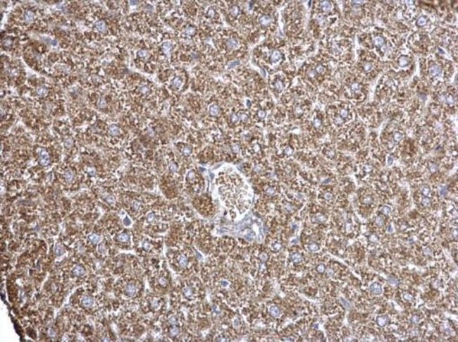
Immunohistochemistry (Paraffin), Immunoprecipitation, Western Blot, Immunocytochemistry | |
0.8 mg/mL | |
0.1M tris glycine with 20% glycerol and 0.01% thimerosal; pH 7 | |
P30084, Q8BH95 | |
Echs1 | |
Recombinant protein encompassing a sequence within the center region of human ECHS1. The exact sequence is proprietary. | |
100 μL | |
Primary | |
Human, Mouse | |
Antibody | |
IgG |
Safety and Handling
WARNING: Cancer - www.P65Warnings.ca.gov
Product Content Correction
Your input is important to us. Please complete this form to provide feedback related to the content on this product.
Product Title
Spot an opportunity for improvement?Share a Content Correction