Promotional price valid on web orders only. Your contract pricing may differ. Interested in signing up for a dedicated account number?
Learn More
Learn More
ECM-1/Secretory Component P85 Antibody (ECM1/792), Novus Biologicals™

Mouse Monoclonal Antibody
Supplier: Novus Biologicals NBP2443970.02MG
Description
Ensure accurate, reproducible results in Flow Cytometry, Immunohistochemistry (Paraffin), Immunofluorescence
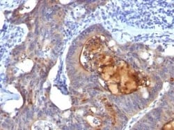
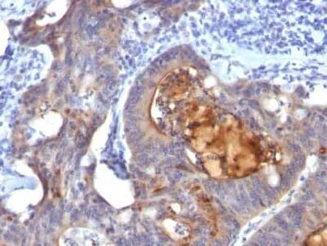
ECM-1/Secretory Component P85 Monoclonal specifically detects ECM-1/Secretory Component P85 in Human, Rat samples. It is validated for Flow Cytometry, Immunohistochemistry, Immunocytochemistry/Immunofluorescence, Immunohistochemistry-Paraffin, Immunofluorescence.Specifications
ECM-1/Secretory Component P85 | |
Monoclonal | |
0.2mg/mL | |
Flow Cytometry 0.5 - 1 ug/million cells in 0.1 ml, Immunohistochemistry-Paraffin 0.5 - 1.0 ug/ml, SDS-Page, Immunofluorescence 1 - 2 ug/ml | |
Q16610 | |
ECM1 | |
Recombinant human ECM1 protein | |
0.02 mg | |
Extracellular Matrix, Immunology | |
1893 | |
Human, Rat | |
Purified |
Flow Cytometry, Immunohistochemistry (Paraffin), SDS-Page, Immunofluorescence | |
ECM1/792 | |
Unconjugated | |
10mM PBS and 0.05% BSA with 0.05% Sodium Azide | |
ECM1, extracellular matrix protein 1, Secretory Component Glycoprotein, Secretory component p85 | |
Mouse | |
Protein A or G purified | |
RUO | |
Primary | |
This MAb reacts with a reduction-resistant epitope present in both free and SIgA bound Secretory Component. It does not react with the cell lines lacking secretory component. The antibody is useful for studying the distribution and level of both free and bound secretory component. Secretory component is differentially expressed in epithelium, and the antibody is a popular marker for identifying subpopulations of epithelial cells and epithelial differentiation. The Secretory component antibody is a useful research tool for studying mucosal immunity, inflammation, remodeling, differentiation and tumorigenesis, all processes associated with differential secretory component expression. | |
Store at 4C. | |
IgG1 κ |
Product Content Correction
Your input is important to us. Please complete this form to provide feedback related to the content on this product.
Product Title
For Research Use Only
Spot an opportunity for improvement?Share a Content Correction