Promotional price valid on web orders only. Your contract pricing may differ. Interested in signing up for a dedicated account number?
Learn More
Learn More
Invitrogen™ EDAR Polyclonal Antibody

Rabbit Polyclonal Antibody
Supplier: Invitrogen™ PA599058
Description
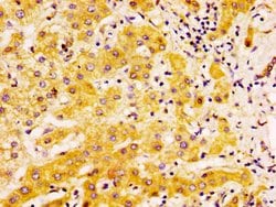
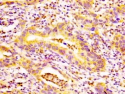
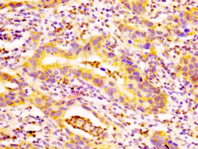
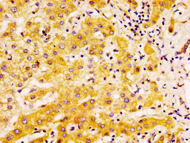
EDAR Polyclonal Antibody for Western Blot, ICC/IF, IHC (P), ELISA
This gene encodes a member of the tumor necrosis factor receptor family. The encoded transmembrane protein is a receptor for the soluble ligand ectodysplasin A, and can activate the nuclear factor-kappaB, JNK, and caspase-independent cell death pathways. It is required for the development of hair, teeth, and other ectodermal derivatives. Mutations in this gene result in autosomal dominant and recessive forms of hypohidrotic ectodermal dysplasia.
Specifications
EDAR | |
Polyclonal | |
Unconjugated | |
Edar | |
Anhidrotic ectodysplasin receptor 1; DL; Downless; downless homolog; downless, mouse, homolog of; ECTD10A; ECTD10B; ectodermal dysplasia receptor; ectodysplasin 1, anhidrotic receptor; ectodysplasin A receptor; ectodysplasin-A receptor; ED1R; ED3; ED5; EDA1R; EDA3; EDA-A1 receptor; EDA-A1R; Edar; HRM1; RGD1561714; Tumor necrosis factor receptor superfamily member EDAR | |
Rabbit | |
Protein G | |
RUO | |
10913 | |
-20°C or -80°C if preferred | |
Liquid |
ELISA, Immunohistochemistry (Paraffin), Western Blot, Immunocytochemistry | |
1 mg/mL | |
PBS with 50% glycerol and 0.03% ProClin 300; pH 7.4 | |
Q9UNE0 | |
Edar | |
Recombinant Human Tumor necrosis factor receptor superfamily member EDAR protein (27-170AA). | |
100 μg | |
Primary | |
Human | |
Antibody | |
IgG |
Product Content Correction
Your input is important to us. Please complete this form to provide feedback related to the content on this product.
Product Title
Spot an opportunity for improvement?Share a Content Correction