Learn More
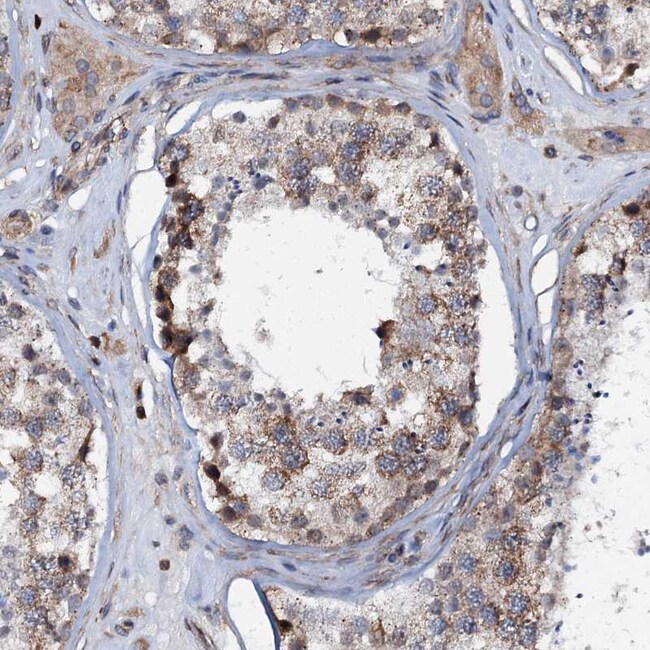
Invitrogen™ EDC4 Polyclonal Antibody

Description
Immunogen sequence: VERALETRHE QEQRRLERAL AEGQQRGGQL QEQLTQQLSQ ALSSAVAGRL ERSIRDEIKK TVPPCVSRSL EPMAGQLSNS VATKLTAVEG SMKENISKLL KSKNLTDA Highest antigen sequence identity to the following orthologs: Mouse - 98%, Rat - 99%.
Specifications
Specifications
| Antigen | EDC4 |
| Applications | Immunohistochemistry (Paraffin), Western Blot, Immunocytochemistry |
| Classification | Polyclonal |
| Concentration | 0.10 mg/mL |
| Conjugate | Unconjugated |
| Formulation | PBS with 40% glycerol and 0.02% sodium azide; pH 7.2 |
| Gene | EDC4 |
| Gene Accession No. | Q6P2E9 |
| Gene Alias | Autoantigen Ge-1; autoantigen RCD8; autoantigen RCD-8; BC022641; Edc4; enhancer of mRNA decapping 4; enhancer of mRNA-decapping protein 4; fe26b05; GE1; Ge-1; HEDL5; HEDLS; Human enhancer of decapping large subunit; LRRG00115; Nrn1l; RCD8; RCD-8; RGD1309136; si:ch211-237c7.1; si:dkey-16n13.6; wu:fe26b05 |
| Gene Symbols | EDC4 |
| Show More |
By clicking Submit, you acknowledge that you may be contacted by Fisher Scientific in regards to the feedback you have provided in this form. We will not share your information for any other purposes. All contact information provided shall also be maintained in accordance with our Privacy Policy.