Promotional price valid on web orders only. Your contract pricing may differ. Interested in signing up for a dedicated account number?
Learn More
Learn More
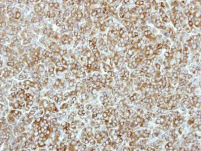
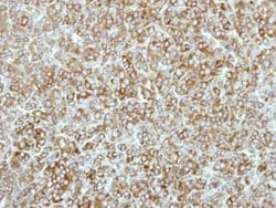
Invitrogen™ EEF2K Polyclonal Antibody

Rabbit Polyclonal Antibody
Supplier: Invitrogen™ PA522175
Description
Recommended positive controls: A431, H1299, HeLa, HepG2, Raji, mouse liver, PC-12. Predicted reactivity: Mouse (91%), Rat (89%), Bovine (90%). Store product as a concentrated solution. Centrifuge briefly prior to opening the vial.
EEF2K is a highly conserved Serine/Threoning kinase in the calmodulin signaling pathway whose activity is increased in cancers including breast cancer. EEF2K (eukaryotic elongation factor 2 kinase) is a threonine kinase that regulates protein synthesis by controlling the rate of peptide chain elongation. Up activation, by a variety of upstream kinases including AMPK or TRPM7, EEF2K phosphorylates the elongation factor EEF2 at a single site. Then, EEF2K renders EEF2 unable to bind ribosomes and inactive - in turn, the rate of protein synthesis is reduced.
Specifications
| EEF2K | |
| Polyclonal | |
| Unconjugated | |
| EEF2K | |
| C86191; Calcium/calmodulin-dependent eukaryotic elongation factor 2 kinase; calcium/calmodulin-dependent eukaryotic elongation factor-2 kinase; calmodulin-dependent protein kinase III; EC 2.7.11.20; eEF-2 kinase; Eef2k; eEF-2K; EF2K; elongation factor 2 kinase; elongation factor-2 kinase; euk; eukaroytic elongation factor 2 kinase; eukaryotic elongation factor 2 kinase; eukaryotic elongation factor-2 kinase; HSU93850; kinase eEF2K; SMEF2K | |
| Rabbit | |
| Antigen affinity chromatography | |
| RUO | |
| 29904 | |
| Store at 4°C short term. For long term storage, store at -20°C, avoiding freeze/thaw cycles. | |
| Liquid |
| Immunohistochemistry (Paraffin), Western Blot | |
| 1 mg/mL | |
| 0.1M tris glycine with 10% glycerol and 0.01% thimerosal; pH 7 | |
| O00418 | |
| EEF2K | |
| Recombinant protein encompassing a sequence within the N-terminus region of human eEF2K. The exact sequence is proprietary. | |
| 100 μL | |
| Primary | |
| Human, Mouse, Rat | |
| Antibody | |
| IgG |
Product Content Correction
Your input is important to us. Please complete this form to provide feedback related to the content on this product.
Product Title
Spot an opportunity for improvement?Share a Content Correction