Promotional price valid on web orders only. Your contract pricing may differ. Interested in signing up for a dedicated account number?
Learn More

EF-1 delta Rabbit anti-Human, Polyclonal, Bethyl Laboratories

Rabbit Polyclonal Antibody

Supplier:  Bethyl Laboratories, Inc A301684A

Encompass_Preferred

Catalog No. 50-156-0985


May include imposed supplier surcharges.
Only null left
Add to Cart

Description

Description

The recommended shelf life for this product is 1 year from date of receipt.

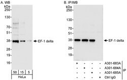
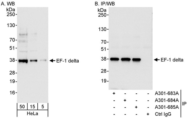
This gene encodes a subunit of the elongation factor-1 complex, which is responsible for the enzymatic delivery of aminoacyl tRNAs to the ribosome. This subunit functions as guanine nucleotide exchange factor. It is reported that this subunit interacts with HIV-1 Tat, and thus it represses the translation of host-cell, but not HIV-1, mRNAs. Several alternatively spliced transcript variants encoding multiple isoforms have been found for this gene.
Specifications

Specifications

EF-1 delta
Polyclonal
Unconjugated
EEF1D
Elongation factor 1-delta; EF-1-delta; Antigen NY-CO-4; EF1D; EEF1D
Rabbit
Antigen affinity chromatography
RUO
1936
4° C
Liquid
Immunoprecipitation, Western Blot
0.2 mg/ml
TBS with 0.1% BSA and 0.09% sodium azide
P29692
EEF1D
Between 80 and 130
100 μL
Primary
Human
Antibody
IgG
Product Suggestions

Product Suggestions

Videos
SDS
Documents

Documents

Product Certifications
Promotions

Promotions

Product Content Correction

The Fisher Scientific Encompass Program offers items which are not part of our distribution portfolio. These products typically do not have pictures or detailed descriptions. However, we are committed to improving your shopping experience. Please use the form below to provide feedback related to the content on this product.

Product Title

By clicking Submit, you acknowledge that you may be contacted by Fisher Scientific in regards to the feedback you have provided in this form. We will not share your information for any other purposes. All contact information provided shall also be maintained in accordance with our Privacy Policy.

Your feedback has been submitted: Thank you for helping us improve our website.