Promotional price valid on web orders only. Your contract pricing may differ. Interested in signing up for a dedicated account number?
Learn More
Learn More
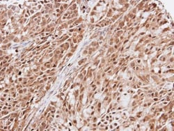
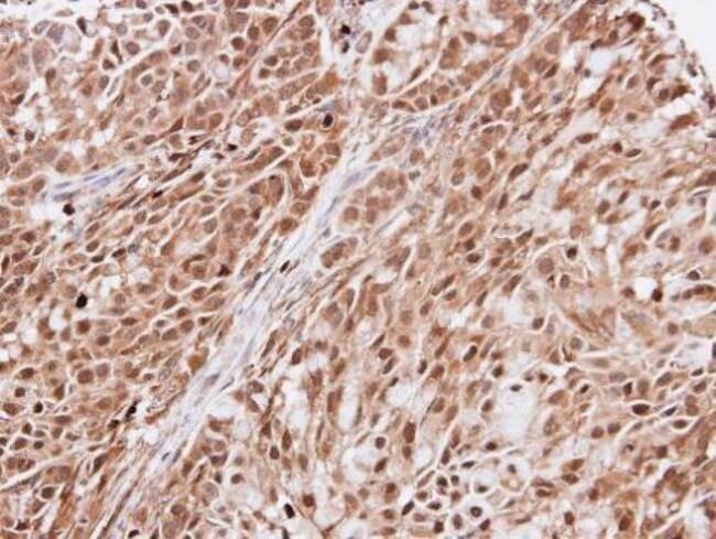
Invitrogen™ EFCAB14 Polyclonal Antibody

Rabbit Polyclonal Antibody
Supplier: Invitrogen™ PA521424
Description
Recommended positive controls: 293T, A431, H1299, HeLa, HepG2, Molt-4, Raji. Store product as a concentrated solution. Centrifuge briefly prior to opening the vial.
EFCAB14 gene ontology annotations related to this gene include calcium ion binding.
Specifications
| EFCAB14 | |
| Polyclonal | |
| Unconjugated | |
| EFCAB14 | |
| 4732418C07Rik; EFCAB14; EF-hand calcium binding domain 14; EF-hand calcium-binding domain-containing protein 14; Kiaa0494; RGD1310351; RP11-8J9.3 | |
| Rabbit | |
| Antigen affinity chromatography | |
| RUO | |
| 9813 | |
| Store at 4°C short term. For long term storage, store at -20°C, avoiding freeze/thaw cycles. | |
| Liquid |
| Immunohistochemistry (Paraffin), Western Blot, Immunocytochemistry | |
| 0.59 mg/mL | |
| 0.1M tris glycine with 10% glycerol and 0.01% thimerosal; pH 7 | |
| O75071 | |
| EFCAB14 | |
| Recombinant protein encompassing a sequence within the center region of human KIAA0494. The exact sequence is proprietary. | |
| 100 μL | |
| Primary | |
| Human | |
| Antibody | |
| IgG |
Product Content Correction
Your input is important to us. Please complete this form to provide feedback related to the content on this product.
Product Title
Spot an opportunity for improvement?Share a Content Correction