Promotional price valid on web orders only. Your contract pricing may differ. Interested in signing up for a dedicated account number?
Learn More

EFTUD2/SNRP116 Rabbit anti-Human, Mouse, Polyclonal, Bethyl Laboratories

Rabbit Polyclonal Antibody

Supplier:  Bethyl Laboratories, Inc A300957A

Encompass_Preferred

Catalog No. 50-155-8883


May include imposed supplier surcharges.
Only null left
Add to Cart

Description

Description

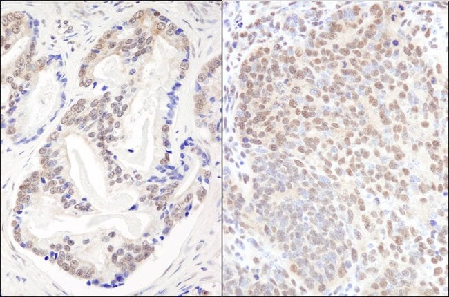
The recommended shelf life for this product is 1 year from date of receipt. Application Note: For IHC, epitope retrieval with citrate buffer pH 6.0 is recommended for FFPE tissue sections. Based on 100% sequence identity, this antibody is predicted to react with Chicken, Bovine and Orangutan

EFTUD2 is component of the U5 snRNP complex required for pre-mRNA splicing.
Specifications

Specifications

EFTUD2/SNRP116
Polyclonal
Unconjugated
EFTUD2
Snrp116, Snu114, U5-116KD, 116 kDa U5 small nuclear ribonucleoprotein component, SNU114 homolog, U5 snRNP specific protein, 116 kD, U5 snRNP-specific protein, 116 kD, U5 snRNP-specific protein, 116 kDa, U5-116 kDa, elongation factor Tu GTP-binding domain-containing protein 2, hSNU114
Rabbit
Antigen affinity chromatography
RUO
20624, 9343
4° C
Liquid
Immunohistochemistry, Immunoprecipitation, Western Blot
0.2 mg/ml
TBS with 0.1% BSA and 0.09% sodium azide
O08810, Q15029
EFTUD2
Between 1 and 50
100 μL
Primary
Human, Mouse
Antibody
IgG
Product Suggestions

Product Suggestions

Videos
SDS
Documents

Documents

Product Certifications
Promotions

Promotions

Product Content Correction

The Fisher Scientific Encompass Program offers items which are not part of our distribution portfolio. These products typically do not have pictures or detailed descriptions. However, we are committed to improving your shopping experience. Please use the form below to provide feedback related to the content on this product.

Product Title

By clicking Submit, you acknowledge that you may be contacted by Fisher Scientific in regards to the feedback you have provided in this form. We will not share your information for any other purposes. All contact information provided shall also be maintained in accordance with our Privacy Policy.

Your feedback has been submitted: Thank you for helping us improve our website.