Promotional price valid on web orders only. Your contract pricing may differ. Interested in signing up for a dedicated account number?
Learn More
Learn More
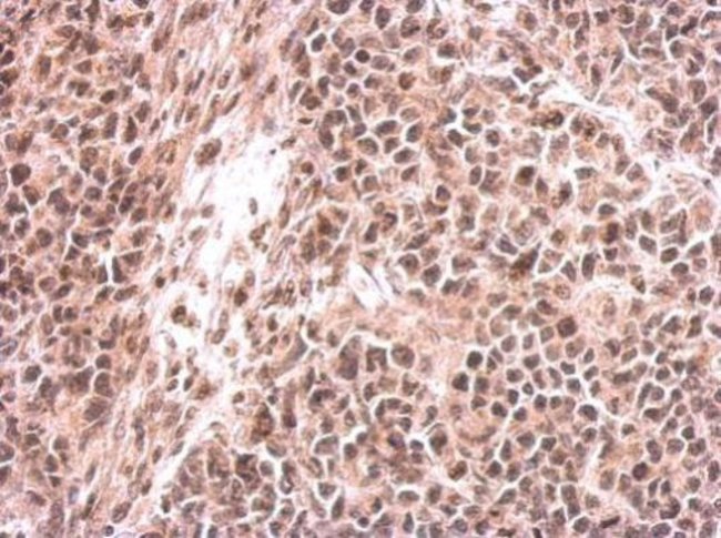
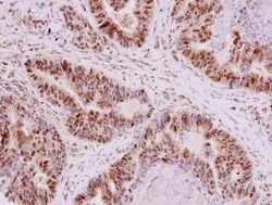
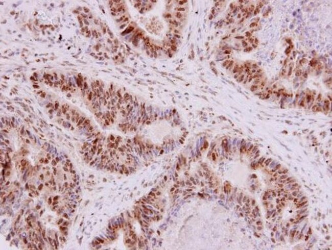
Invitrogen™ EHMT2 Polyclonal Antibody

Rabbit Polyclonal Antibody
Supplier: Invitrogen™ PA534971
Description
Recommended positive controls: 293T, A431, HeLa, HepG2. Predicted reactivity: Rat (100%), Bovine (100%). Store product as a concentrated solution. Centrifuge briefly prior to opening the vial.
A cluster of genes, BAT1-BAT5, has been localized in the vicinity of the genes for TNF alpha and TNF beta. This gene is found near this cluster; it was mapped near the gene for C2 within a 120-kb region that included a HSP70 gene pair. These genes are all within the human major histocompatibility complex class III region. This gene was thought to be two different genes, NG36 and G9a, adjacent to each other but a recent publication shows that there is only a single gene. The protein encoded by this gene is thought to be involved in intracellular protein-protein interaction. There are three alternatively spliced transcript variants of this gene but only two are fully described.
Specifications
| EHMT2 | |
| Polyclonal | |
| Unconjugated | |
| Ehmt2 | |
| ankyrin repeat-containing protein; Bat8; C6orf30; D17Ertd710e; DKFZp686H08213; Ehmt2; euchromatic histone lysine methyltransferase 2; euchromatic histone lysine N-methyltransferase 2; euchromatic histone-lysine N-methyltransferase 2; FLJ35547; G9a; G9A histone methyltransferase; GAT8; H3 ly; H3-K9-Histone-Methyl-Transferase; H3-K9-HMTase 3; histone H3-K9 methyltransferase 3; Histone-lysine N-methyltransferase EHMT2; histone-lysine N-methyltransferase, H3 lysine-9 specific 3; HLA-B associated transcript 8; HLA-B associated transcript 8, rat orthologue; HLA-B-associated transcript 8; KMT1C; lysine N-methyltransferase 1C; NG36; NG36/G9a; Protein G9a | |
| Rabbit | |
| Antigen affinity chromatography | |
| RUO | |
| 10919 | |
| Store at 4°C short term. For long term storage, store at -20°C, avoiding freeze/thaw cycles. | |
| Liquid |
| Immunohistochemistry (Paraffin), Immunoprecipitation, Western Blot, Immunocytochemistry | |
| 2.63 mg/mL | |
| PBS with 20% glycerol and 0.025% ProClin 300; pH 7 | |
| Q96KQ7 | |
| Ehmt2 | |
| Carrier-protein conjugated synthetic peptide encompassing a sequence within the N-terminus region of human G9a. The exact sequence is proprietary. | |
| 100 μL | |
| Primary | |
| Human | |
| Antibody | |
| IgG |
Product Content Correction
Your input is important to us. Please complete this form to provide feedback related to the content on this product.
Product Title
Spot an opportunity for improvement?Share a Content Correction