Learn More
Invitrogen™ eIF1AX Polyclonal Antibody

Description
Immunogen sequence: KRELVFKEDG QEYAQVIKML GNGRLEALCF DGVKRLCHIR GKLRKKVWIN TSDIILVGLR DYQDNKADVI LKYNADEARS LKAYGELPEH AKINETDTFG PGDDDEIQ Highest antigen sequence identity to the following orthologs: Mouse - 99%, Rat - 99%.
Specifications
Specifications
| Antigen | eIF1AX |
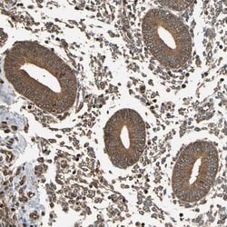
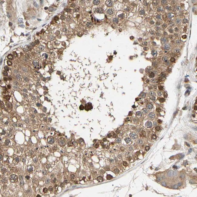
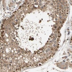
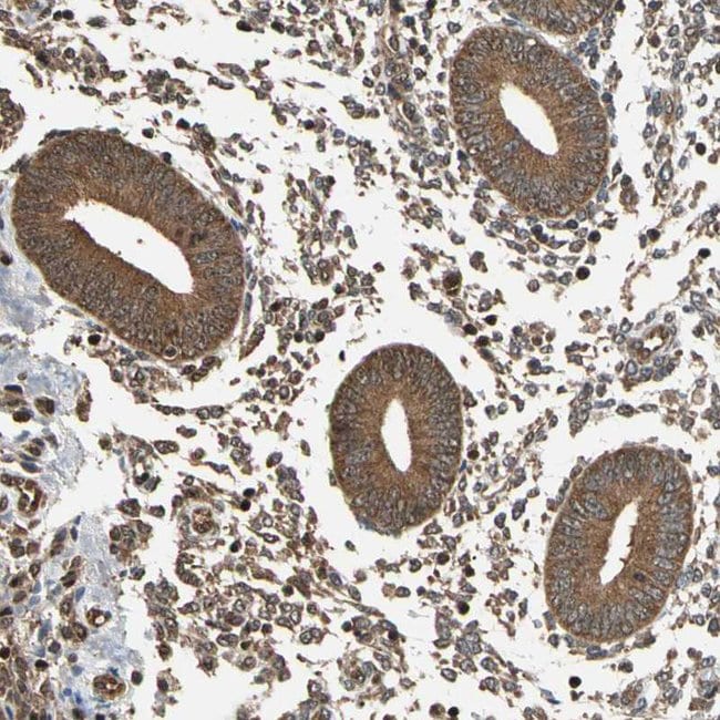
| Applications | Immunohistochemistry (Paraffin), Western Blot |
| Classification | Polyclonal |
| Concentration | 0.3 mg/mL |
| Conjugate | Unconjugated |
| Formulation | PBS with 40% glycerol and 0.02% sodium azide; pH 7.2 |
| Gene | EIF1AX |
| Gene Accession No. | P47813, Q8BMJ3 |
| Gene Alias | 1500010B24Rik; AI426898; EIF1A; eIF-1A; eIF-1A X isoform; EIF1AP1; EIF1AX; Eif1ay; EIF4C; eIF-4C; eukaryotic translation initiation factor 1A X-linked; eukaryotic translation initiation factor 1A, X chromosome; eukaryotic translation initiation factor 1A, X-chromosomal; eukaryotic translation initiation factor 1A, X-linked; eukaryotic translation initiation factor 1A, Y-linked; eukaryotic translation initiation factor 4C; Putative eukaryotic translation initiation factor 1A; RGD1560198; X-linked eukaryotic translation initiation factor 1A |
| Gene Symbols | EIF1AX |
| Show More |
Safety and Handling
By clicking Submit, you acknowledge that you may be contacted by Fisher Scientific in regards to the feedback you have provided in this form. We will not share your information for any other purposes. All contact information provided shall also be maintained in accordance with our Privacy Policy.