Promotional price valid on web orders only. Your contract pricing may differ. Interested in signing up for a dedicated account number?
Learn More

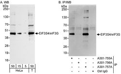
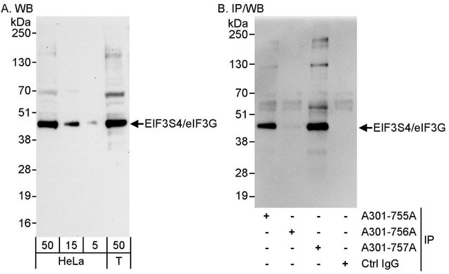
eIF3G/EIF3S4 Rabbit anti-Human, Polyclonal, Bethyl Laboratories

Catalog No. 501559622
Encompass_Preferred
Change view
Click to view available options
Quantity:
100 μL
1 product options available for selection
Product selection table with 1 available options. Use arrow keys to navigate and Enter or Space to select.
Catalog No. Quantity
50-155-9622 100 μL
Use arrow keys to navigate between rows. Press Enter or Space to select a product option. 1 options available.
1 options
Catalog No. 50-155-9622 Supplier Bethyl Laboratories, Inc Supplier No. A301757A
Only null left
Add to Cart
Add to Cart

Rabbit Polyclonal Antibody

The recommended shelf life for this product is 1 year from date of receipt. Based on 100% sequence identity, this antibody is predicted to react with Mouse, Rat and Bovine

EIF3S4 contains 1 RRM (RNA recognition motif) domain. It binds to the 40S ribosome and promotes the binding of methionyl-tRNAi and mRNA. This subunit binds to the 18S rRNA.

Specifications

Antigen eIF3G/EIF3S4
Applications Immunoprecipitation, Western Blot
Classification Polyclonal
Concentration 0.2 mg/ml
Conjugate Unconjugated
Formulation TBS with 0.1% BSA and 0.09% sodium azide
Gene EIF3G
Gene Accession No. O75821
Gene Alias EIF3-P42, EIF3S4, eIF3-delta, eIF3-p44, eIF-3 RNA-binding subunit, eIF-3-delta, eIF3 p42, eIF3 p44, eukaryotic translation initiation factor 3 RNA-binding subunit, eukaryotic translation initiation factor 3 subunit 4, eukaryotic translation initiation factor 3 subunit G, eukaryotic translation initiat
Gene Symbols EIF3G
Host Species Rabbit
Immunogen Between 175 and 225
Purification Method Antigen affinity chromatography
Quantity 100 μL
Regulatory Status RUO
Primary or Secondary Primary
Gene ID (Entrez) 8666
Target Species Human
Content And Storage 4° C
Product Type Antibody
Form Liquid
Isotype IgG
Show More Show Less
Product Title
Select an issue

By clicking Submit, you acknowledge that you may be contacted by Fisher Scientific in regards to the feedback you have provided in this form. We will not share your information for any other purposes. All contact information provided shall also be maintained in accordance with our Privacy Policy.