Promotional price valid on web orders only. Your contract pricing may differ. Interested in signing up for a dedicated account number?
Learn More

eIF3J/EIF3S1 Rabbit anti-Human, Mouse, Polyclonal, Bethyl Laboratories

Rabbit Polyclonal Antibody

Supplier:  Bethyl Laboratories, Inc A301746A

Encompass_Preferred

Catalog No. 50-155-9599


May include imposed supplier surcharges.
Only null left
Add to Cart

Description

Description

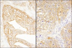
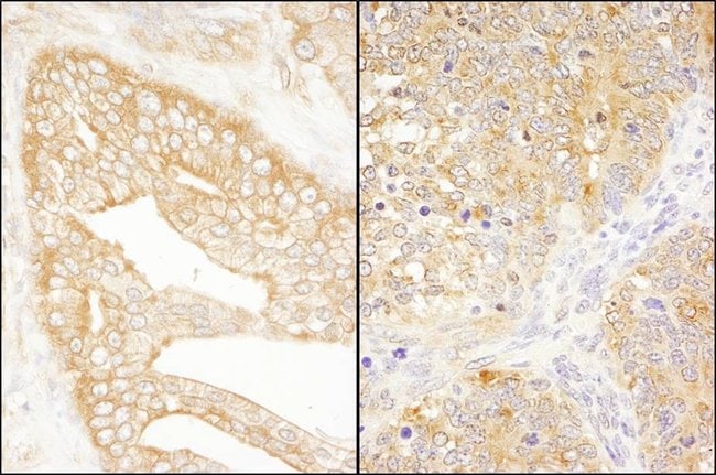
The recommended shelf life for this product is 1 year from date of receipt. Application Note: For IHC, epitope retrieval with citrate buffer pH 6.0 is recommended for FFPE tissue sections. Based on 100% sequence identity, this antibody is predicted to react with Rat and Orangutan

Eukaryotic initiation factor-3 (EIF3) has a molecular mass of about 600 kD and contains 13 nonidentical protein subunits, including EIF3J. EIF3 plays a central role in binding of initiator methionyl-tRNA and mRNA to the 40S ribosomal subunit to form the 40S initiation complex (Fraser et al., 2004 [PubMed 14688252]; Fraser et al., 2007 [PubMed 17588516]).
Specifications

Specifications

eIF3J/EIF3S1
Polyclonal
Unconjugated
EIF3J
eIF-3-alpha; eIF3 p35; eukaryotic translation initiation factor 3 subunit 1; eukaryotic translation initiation factor 3 subunit J; eukaryotic translation initiation factor 3, subunit 1 (alpha, 35kD); eukaryotic translation initiation factor 3, subunit 1 alpha, 35kDa
Rabbit
Antigen affinity chromatography
RUO
100042807, 78655, 8669
4° C
Liquid
Immunohistochemistry, Immunoprecipitation, Western Blot
1 mg/ml
phosphate, tris citrate with 0.09% sodium azide; pH 7-8
O75822, Q3UGC7, Q66JS6
EIF3J, Eif3j1, Eif3j2
Between 208 and 258
100 μL
Primary
Human, Mouse
Antibody
IgG
Product Suggestions

Product Suggestions

Videos
SDS
Documents

Documents

Product Certifications
Promotions

Promotions

Product Content Correction

The Fisher Scientific Encompass Program offers items which are not part of our distribution portfolio. These products typically do not have pictures or detailed descriptions. However, we are committed to improving your shopping experience. Please use the form below to provide feedback related to the content on this product.

Product Title

By clicking Submit, you acknowledge that you may be contacted by Fisher Scientific in regards to the feedback you have provided in this form. We will not share your information for any other purposes. All contact information provided shall also be maintained in accordance with our Privacy Policy.

Your feedback has been submitted: Thank you for helping us improve our website.