Learn More
Description
Specifications
Specifications
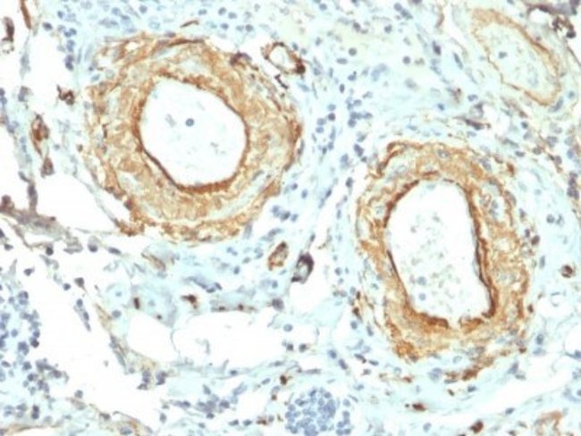
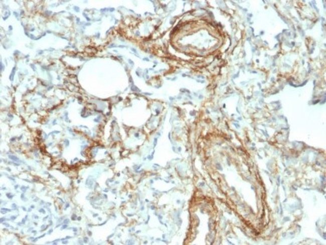
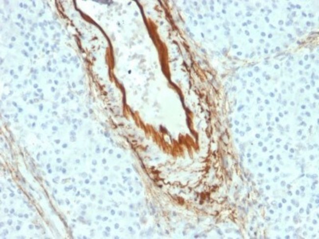
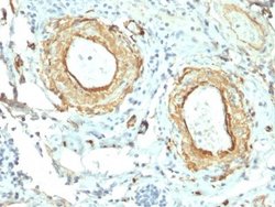
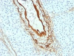
| Antigen | Elastin |
| Applications | ELISA, Immunohistochemistry (Paraffin) |
| Classification | Monoclonal |
| Clone | ELN/2069 |
| Concentration | 1 mg/mL |
| Conjugate | Unconjugated |
| Dilution | ELISA, Immunohistochemistry-Paraffin : 1-2 ug/mL |
| Formulation | 10mM PBS |
| Gene Alias | elastin, FLJ38671, FLJ43523, SVAS, tropoelastin, WBS, WS |
| Host Species | Mouse |
| Show More |
By clicking Submit, you acknowledge that you may be contacted by Fisher Scientific in regards to the feedback you have provided in this form. We will not share your information for any other purposes. All contact information provided shall also be maintained in accordance with our Privacy Policy.
