Promotional price valid on web orders only. Your contract pricing may differ. Interested in signing up for a dedicated account number?
Learn More
Learn More
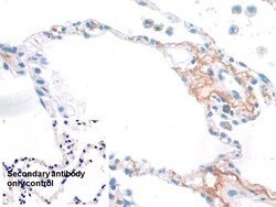
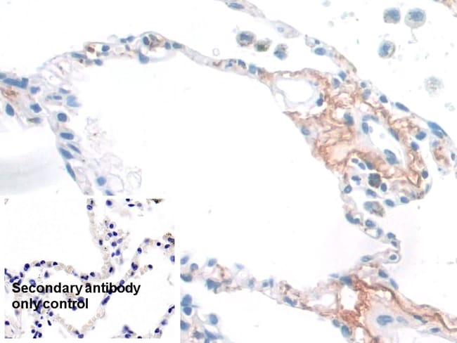
Invitrogen™ Elastin Monoclonal Antibody (C4), Invitrogen™
Mouse Monoclonal Antibody
Supplier: Invitrogen™ MA551168
Description
This gene encodes a protein that is one of the two components of elastic fibers. The encoded protein is rich in hydrophobic amino acids such as glycine and proline, which form mobile hydrophobic regions bounded by crosslinks between lysine residues. Deletions and mutations in this gene are associated with supravalvular aortic stenosis (SVAS) and autosomal dominant cutis laxa. Multiple transcript variants encoding different isoforms have been found for this gene.
Specifications
Elastin | |
Monoclonal | |
1 mg/mL | |
PBS with 50% glycerol and 0.05% Proclin 300; pH 7.4 | |
P15502, Q99372 | |
ELN | |
Recombinant Human ELN protein, Gly392-Ala645 (Accession #P15502). | |
20 μL | |
Primary | |
Human, Rat | |
Antibody | |
IgG2b κ |
Immunohistochemistry (Paraffin), Western Blot, Western Blot | |
C4 | |
Unconjugated | |
ELN | |
5830419M17Rik; AI385707; AI480567; AW229038; BB105748; E030024M20Rik; elastin; elastin (supravalvular aortic stenosis, Williams-Beuren syndrome); elastin a precursor; elastin b precursor; elastin c precursor; elastin microfibril interface located protein 1; elastin microfibril interface-located protein 1; Elastin microfibril interfacer 1; Eln; EMI; EMILIN; EMILIN1; EMILIN-1; FLJ38671; FLJ43523; gp115; RATTREL11; SVAS; TREL11; Trela; Trela26; Tropoelastin; WBS; WS | |
Mouse | |
Protein A/G | |
RUO | |
2006, 25043 | |
Store at 4°C short term. For long term storage, store at -20°C, avoiding freeze/thaw cycles. | |
Liquid |
Product Content Correction
Your input is important to us. Please complete this form to provide feedback related to the content on this product.
Product Title
Spot an opportunity for improvement?Share a Content Correction