Promotional price valid on web orders only. Your contract pricing may differ. Interested in signing up for a dedicated account number?
Learn More
Learn More
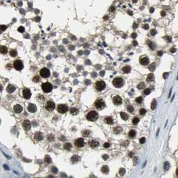
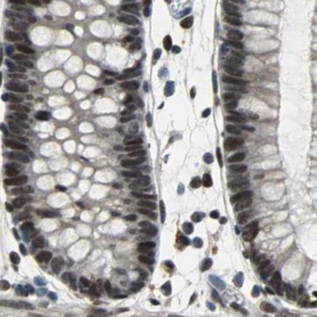
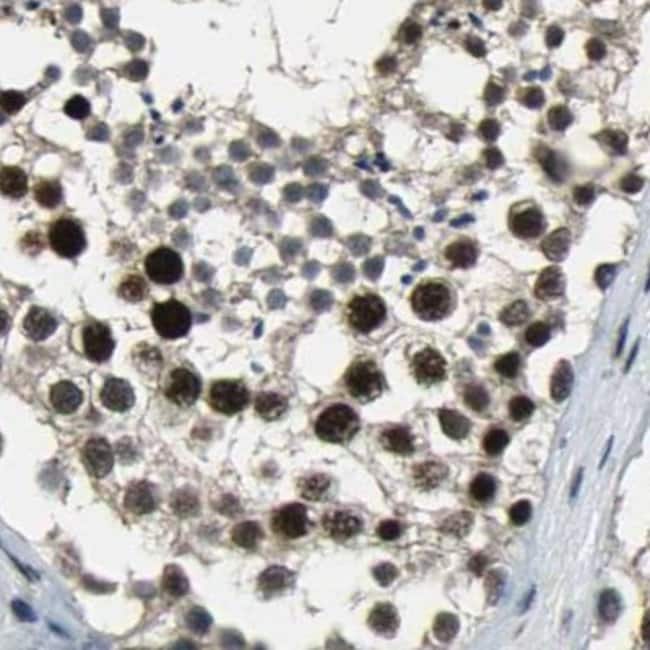
Invitrogen™ ELF2 Polyclonal Antibody

Rabbit Polyclonal Antibody
Supplier: Invitrogen™ PA552247
Description
Immunogen sequence: MTSAVVDSGG TILELSSNGV ENQEESEKVS EYPAVIVEPV PSARLEQGYA AQVLVYDDET YMMQDVAEEQ EVETENVETV EASVHSSNAH CTDKTIEAAE ALLHMESPTC LRDSRSPEFI HAAMRPDVIT ETVVEVSTEE SEP Highest antigen sequence identity to the following orthologs: Mouse - 90%, Rat - 85%.
The elongation of primed DNA templates by DNA polymerase delta and DNA polymerase epsilon requires the accessory proteins proliferating cell nuclear antigen (PCNA) and replication factor C (RFC). RFC, also named activator 1, is a protein complex consisting of five distinct subunits of 140, 40, 38, 37, and 36 kDa. This gene encodes the 36 kD subunit. This subunit can interact with the C-terminal region of PCNA. It forms a core complex with the 38 and 40 kDa subunits. The core complex possesses DNA-dependent ATPase activity, which was found to be stimulated by PCNA in an in vitro system. Alternatively spliced transcript variants encoding distinct isoforms have been reported.
Specifications
| ELF2 | |
| Polyclonal | |
| Unconjugated | |
| ELF2 | |
| 2610036A20Rik; A230104O07Rik; AW111824; BB183398; E74 like ETS transcription factor 2; E74-like factor 2; E74-like factor 2 (ets domain transcription factor); E74-like factor 2 (ets domain transcription factor) isoform 1; E74-like factor 2 (ets domain transcription factor) isoform 2; elf2; ets domain transcription factor; ets family transcription factor ELF2A2; ets family transcription factor ELF2C; ETS-related transcription factor Elf-2; EU32; NERF; NERF-1A; NERF-1a,b; NERF-1B; NERF-2; new Ets-related factor | |
| Rabbit | |
| Antigen Affinity Chromatography | |
| RUO | |
| 1998, 361944, 69257 | |
| Store at 4°C short term. For long term storage, store at -20°C, avoiding freeze/thaw cycles. | |
| Liquid |
| Immunohistochemistry (Paraffin), Western Blot, Immunocytochemistry | |
| 0.1 mg/mL | |
| PBS with 40% glycerol and 0.02% sodium azide; pH 7.2 | |
| Q15723, Q9JHC9 | |
| ELF2 | |
| Recombinant protein corresponding to Human ELF2. Recombinant protein control fragment (Product #RP-100697). | |
| 100 μL | |
| Primary | |
| Human, Mouse, Rat | |
| Antibody | |
| IgG |
Product Content Correction
Your input is important to us. Please complete this form to provide feedback related to the content on this product.
Product Title
Spot an opportunity for improvement?Share a Content Correction