Promotional price valid on web orders only. Your contract pricing may differ. Interested in signing up for a dedicated account number?
Learn More
Learn More
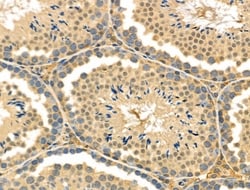
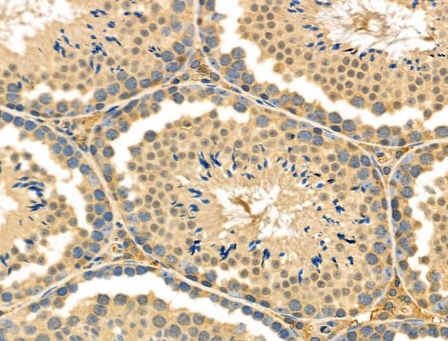
Invitrogen™ Endothelin 3 Polyclonal Antibody

Rabbit Polyclonal Antibody
Supplier: Invitrogen™ PA5106860
Description
Antibody detects endogenous levels of total EDN3.
The protein encoded by this gene is a member of the endothelin family. Endothelins are endothelium-derived vasoactive peptides involved in a variety of biological functions. The active form of this protein is a 21 amino acid peptide processed from the precursor protein. The active peptide is a ligand for endothelin receptor type B (EDNRB). The interaction of this endothelin with EDNRB is essential for development of neural crest-derived cell lineages, such as melanocytes and enteric neurons. Mutations in this gene and EDNRB have been associated with Hirschsprung disease (HSCR) and Waardenburg syndrome (WS), which are congenital disorders involving neural crest-derived cells. Four alternatively spliced transcript variants encoding three distinct isoforms have been observed.
Specifications
| Endothelin 3 | |
| Polyclonal | |
| Unconjugated | |
| EDN3 | |
| 114CH19; EDN3; endothelin 3; endothelin-3; ET 3; Et3; ET-3; HSCR4; lethal spotting; ls; MGC15067; MGC61498; PPET3; Preproendothelin 3; preproendothelin-3; preproET-3; RGD1564825; RP4-614C15.1; tmgc48; WS4B | |
| Rabbit | |
| Affinity Chromatography | |
| RUO | |
| 13616, 1908, 366270 | |
| -20°C | |
| Liquid |
| Immunohistochemistry (Paraffin), Western Blot | |
| 1 mg/mL | |
| PBS with 50% glycerol and 0.02% sodium azide; pH 7.4 | |
| P13207, P14138, P48299 | |
| EDN3 | |
| A synthesized peptide derived from human EDN3(Accession P14138), corresponding to amino acid residues A186-G236. | |
| 100 μL | |
| Primary | |
| Human, Mouse, Rat | |
| Antibody | |
| IgG |
Safety and Handling
WARNING: Cancer - www.P65Warnings.ca.gov
Product Content Correction
Your input is important to us. Please complete this form to provide feedback related to the content on this product.
Product Title
Spot an opportunity for improvement?Share a Content Correction