Promotional price valid on web orders only. Your contract pricing may differ. Interested in signing up for a dedicated account number?
Learn More
Learn More
Invitrogen™ ENO1 Polyclonal Antibody

Rabbit Polyclonal Antibody
Supplier: Invitrogen™ PA5116513
Description
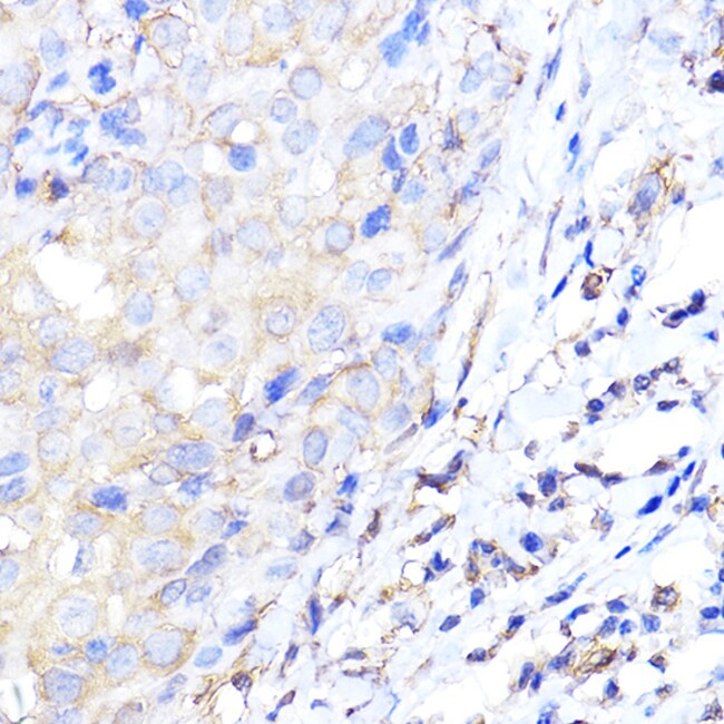
Positive Samples: PC-3, Ramos, NCI-H460, HeLa, THP-1, Mouse kidney, Mouse liver.
Enolase (2-phosphogly-cerate hydrolyase or phosphopyruvate hydrates) is a glycolytic enzyme that catalyzes the dehydration and conversion of 2-phosphoglycerate to phosphoenolpyruvate. It comprises three distinct subunits, alpha, beta and gamma. Non Neuronal Enolase(ENO1) is an isoform of mammalian enolase and is composed of 2 alpha subunits. The gene for ENO1 also encodes a shorter monomeric structural lens protein, tau-crystallin. Multifunctional enzyme that, as well as its role in glycolysis, plays a part in various processes such as growth control, hypoxia tolerance and allergic responses. May also function in the intravascular and pericellular fibrinolytic system due to its ability to serve as a receptor and activator of plasminogen on the cell surface of several cell-types such as leukocytes and neurons. Stimulates immunoglobulin production.Used as a diagnostic marker for many tumors and, in the heterodimeric form, alpha/gamma, as a marker for hypoxic brain injury after cardiac arrest. Also marker for endometriosis. Antibodies against alpha-enolase are present in sera from patients with cancer-associated retinopathy syndrome (CAR), a progressive blinding disease which occurs in the presence of systemic tumor growth, primarily small-cell carcinoma of the lung and other malignancies. Is identified as an autoantigen in Hashimoto encephalopathy (HE) a rare autoimmune disease associated with Hashimoto thyroiditis (HT). HT is a disorder in which destructive processes overcome the potential capacity of thyroid replacement leading to hypothyroidism.
Specifications
| ENO1 | |
| Polyclonal | |
| Unconjugated | |
| ENO1 | |
| 0610008I15; 2-phospho-D-glycerate hydrolase; 2-phospho-D-glycerate hydro-lyase; AL022784; alpha enolase; alpha enolase like 1; alpha-enolase; alpha-enolase; c-myc promoter-binding protein-1; c-Myc promoter binding protein; C-myc promoter-binding protein; Eno1; Eno-1; ENO1L1; enoa; Enolase 1; enolase 1, (alpha); enolase 1, alpha non-neuron; enolase-alpha; epididymis secretory protein Li 17; HEL-S-17; MBP-1; MBPB1; MPB1; MPB-1; MYC promoter-binding protein 1; NNE; Non-neural enolase; phosphopyruvate hydratase; Plasminogen-binding protein; PPH; tau-crystallin | |
| Rabbit | |
| Affinity chromatography | |
| RUO | |
| 13806, 2023 | |
| -20°C, Avoid Freeze/Thaw Cycles | |
| Liquid |
| ELISA, Immunohistochemistry (Paraffin), Immunoprecipitation, Western Blot, Immunocytochemistry | |
| 2.86 mg/mL | |
| PBS with 50% glycerol and 0.09% sodium azide; pH 7.3 | |
| P06733, P17182 | |
| ENO1 | |
| Recombinant protein (or fragment). | |
| 100 μL | |
| Primary | |
| Human, Mouse | |
| Antibody | |
| IgG |
Product Content Correction
Your input is important to us. Please complete this form to provide feedback related to the content on this product.
Product Title
Spot an opportunity for improvement?Share a Content Correction