Promotional price valid on web orders only. Your contract pricing may differ. Interested in signing up for a dedicated account number?
Learn More

MilliporeSigma™ Eosinophil Cationic Protein, Mouse, Unlabeled, Clone: 1C8.5/D8,

Mouse Monoclonal Antibody

Supplier:  MilliporeSigma™ MABF986

Catalog No. MABF986MI


Only null left
Add to Cart

Description

Description

Eosinophil cationic protein (UniProt P12724; also known as ECP, Ribonuclease 3, RNase 3) is encoded by the RNASE3 (also known as ECP, RNS3) gene (Gene ID 6037) in human. The major basic protein (MBP), eosinophil cationic protein (ECP), eosinophil derived neurotoxin (EDN) and eosinophil peroxidase (EPO), are eosinophil effector molecules implicated in host defense, immunoregulatory responses, and in allergic and inflammatory reactions. These highly cationic proteins are stored preformed within the eosinophil secondary granules and released in intact membrane-bound granules during cell lysis or through a complex system of vesiculotubular structures during “piecemeal necrosis”. While eosinophil count and eosinophil surface expression of the activation marker CD69 are significantly correlated with serum concentrations of MBP, EDN and EPO, studies show that they are not correlated with ECP level. On the other hand, eosinophilic disease patients with normal eosinophil count show significantly increased concentrations of MBP, ECP, EDN, and EPO compared to normal donors. The measurement of MBP, ECP, EDN, and EPO levels thus provides a better predictor than eosinophil count alone in disease diagnosis. ECP is produced with a signal peptide sequence (a.a. 1-27), the removal of which yields the mature (a.a. 28-160) protein.
TRUSTED_SUSTAINABILITY
Specifications

Specifications

Eosinophil Cationic Protein
Monoclonal
Please refer to lot specific datasheet.
Purified mouse monoclonal IgG1 antibody in buffer containing 0.1M Tris-Glycine (pH 7.4), 150mM NaCl with 0.05% Sodium Azide.
P12724
Purified human ECP.
100 μg
Inflammation & Immunology
NP_002926
Human
Purified
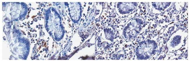
Immunohistochemistry (Paraffin), Immunoassay, Western Blot
1C8.5/D8
Unconjugated
RNASE3, ECP, RNS3
Mouse
Protein G Purified
RUO
Primary
Clone 1C8.5/D9 specifically reacted with ECP, but not other granule proteins by Western blotting analysis (Makiya, M.A., et al. (2014). J. Immunol. Methods. 411:11-22).
Stable for 1 year at 2°-8°C from date of receipt.
IgG1
Product Suggestions

Product Suggestions

Videos
SDS
Documents

Documents

Product Certifications
Promotions

Promotions

Product Content Correction

Your input is important to us. Please complete this form to provide feedback related to the content on this product.

Product Title

By clicking Submit, you acknowledge that you may be contacted by Fisher Scientific in regards to the feedback you have provided in this form. We will not share your information for any other purposes. All contact information provided shall also be maintained in accordance with our Privacy Policy.

Your feedback has been submitted: Thank you for helping us improve our website.

For Research Use Only. Not for use in diagnostic procedures.