Promotional price valid on web orders only. Your contract pricing may differ. Interested in signing up for a dedicated account number?
Learn More
Learn More
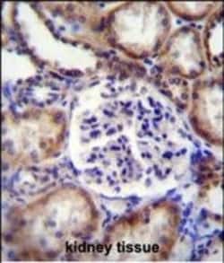
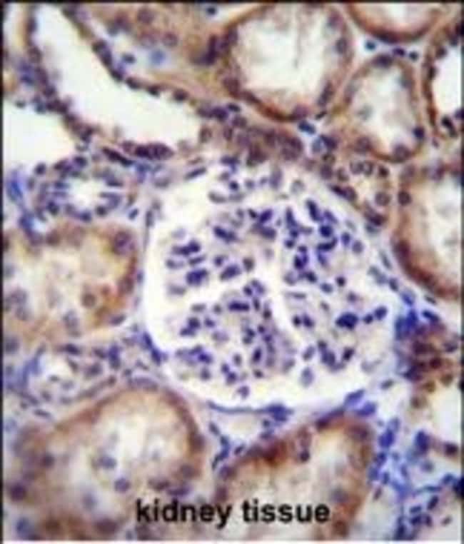
Invitrogen™ Ephrin B2 Polyclonal Antibody

Rabbit Polyclonal Antibody
Supplier: Invitrogen™ PA535062
Description
Ephrin B2 Polyclonal Antibody for Western Blot, ICC/IF, IHC (P)
This gene encodes a member of the ephrin (EPH) family. The ephrins and EPH-related receptors comprise the largest subfamily of receptor protein-tyrosine kinases and have been implicated in mediating developmental events, especially in the nervous system and in erythropoiesis. Based on their structures and sequence relationships, ephrins are divided into the ephrin-A (EFNA) class, which are anchored to the membrane by a glycosylphosphatidylinositol linkage, and the ephrin-B (EFNB) class, which are transmembrane proteins. This gene encodes an EFNB class ephrin which binds to the EPHB4 and EPHA3 receptors.
Specifications
Ephrin B2 | |
Polyclonal | |
Unconjugated | |
Efnb2 | |
EFNB2; efnb2a; Elf2; ELF-2; EPH-related receptor tyrosine kinase ligand 5; ephrin B2; ephrin B2a; ephrin-B2; Ephrin-B2a; Epl5; EPLG5; HTK ligand; Htkl; HTK-L; id:ibd5072; Lerk5; LERK-5; ligand of eph-related kinase 5; MGC126226; MGC126227; MGC126228; NLERK-1 | |
Rabbit | |
Antigen affinity chromatography, Protein A | |
RUO | |
1948 | |
Store at 4°C short term. For long term storage, store at -20°C, avoiding freeze/thaw cycles. | |
Liquid |
Immunohistochemistry (Paraffin), Western Blot, Immunocytochemistry | |
2 mg/mL | |
PBS with 0.09% sodium azide; pH 7.4 | |
P52799 | |
Efnb2 | |
KLH conjugated synthetic peptide between 157-186 amino acids from the central region of human EFNB2. | |
400 μL | |
Primary | |
Human | |
Antibody | |
IgG |
Safety and Handling
WARNING: Cancer - www.P65Warnings.ca.gov
Product Content Correction
Your input is important to us. Please complete this form to provide feedback related to the content on this product.
Product Title
Spot an opportunity for improvement?Share a Content Correction