Promotional price valid on web orders only. Your contract pricing may differ. Interested in signing up for a dedicated account number?
Learn More
Learn More
Invitrogen™ EPHX2 Polyclonal Antibody

Rabbit Polyclonal Antibody
Supplier: Invitrogen™ PA582814
Description
Immunogen sequence: YRNMERNWKW ACKSLGRKIL IPALMVTAEK DFVLVPQMSQ HMEDWIPHLK RGHIEDCGHW TQMDKPTEVN QILIKWLDSD AR.
This gene encodes a member of the epoxide hydrolase family. The protein, found in both the cytosol and peroxisomes, binds to specific epoxides and converts them to the corresponding dihydrodiols. Mutations in this gene have been associated with familial hypercholesterolemia. Alternatively spliced transcript variants have been described.
Specifications
| EPHX2 | |
| Polyclonal | |
| Unconjugated | |
| EPHX2 | |
| bifunctional epoxide hydrolase 2; CEH; cytosolic epoxide hydrolase; Cytosolic epoxide hydrolase 2; Eph2; Ephx2; Epoxide hydratase; epoxide hydrolase 2; epoxide hydrolase 2, cytoplasmic; epoxide hydrolase 2, cytosolic; epoxide hydrolase 2C; epoxide hydrolase, soluble; Lipid-phosphate phosphatase; SEH; sEP; Soluble epoxide hydrolase | |
| Rabbit | |
| Antigen affinity chromatography | |
| RUO | |
| 2053 | |
| Store at 4°C short term. For long term storage, store at -20°C, avoiding freeze/thaw cycles. | |
| Liquid |
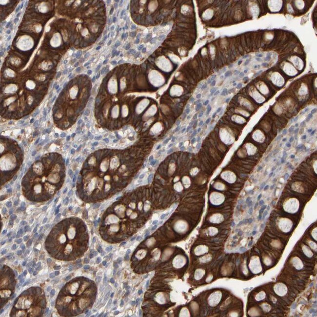
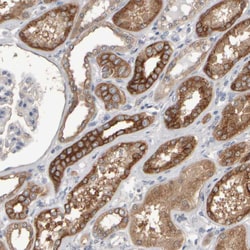
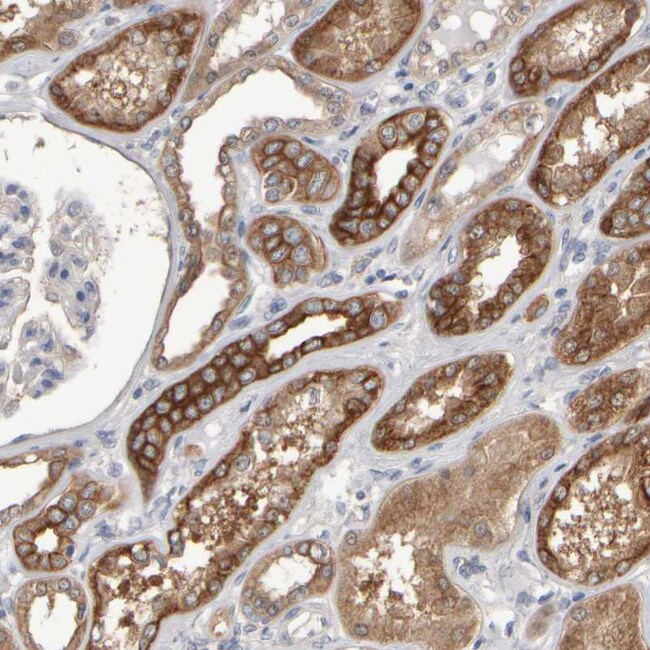
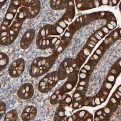
| Immunohistochemistry (Paraffin), Western Blot, Immunocytochemistry | |
| 0.1 mg/mL | |
| PBS with 40% glycerol and 0.02% sodium azide; pH 7.2 | |
| P34913 | |
| EPHX2 | |
| Recombinant protein corresponding to Human EPHX2. Recombinant protein control fragment (Product #RP-93772). | |
| 100 μL | |
| Primary | |
| Human | |
| Antibody | |
| IgG |
Safety and Handling
WARNING: Cancer - www.P65Warnings.ca.gov
Product Content Correction
Your input is important to us. Please complete this form to provide feedback related to the content on this product.
Product Title
Spot an opportunity for improvement?Share a Content Correction