Promotional price valid on web orders only. Your contract pricing may differ. Interested in signing up for a dedicated account number?
Learn More
Learn More
Invitrogen™ Epiregulin Polyclonal Antibody

Rabbit Polyclonal Antibody
Supplier: Invitrogen™ PA524727
Description
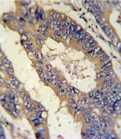
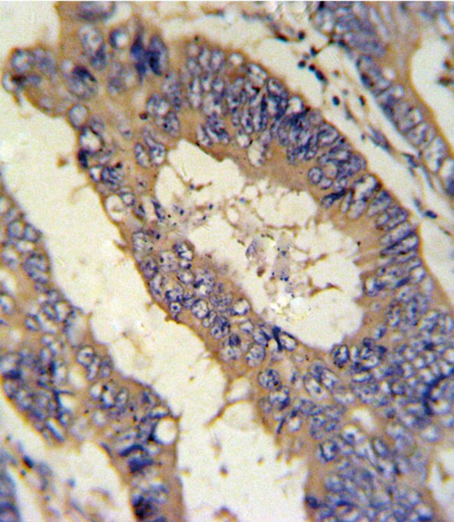
Epiregulin Polyclonal Antibody for Western Blot, IHC (P), Flow
Epiregulin is an EGF-related growth factor that binds specifically to EGFR (ErbB1) and ErbB4, but not ErbB2 or ErbB3. It is expressed mainly in the placenta and peripheral blood leukocytes, as well as in certain carcinomas of the bladder, lung, kidney and colon. Epiregulin stimulates the proliferation of keratinocytes, hepatocytes, fibroblasts and vascular smooth muscle cells. It also inhibits the growth of several tumor-derived epithelial cell lines. Human Epiregulin is initially synthesized as a glycosylated 19.0 kDa transmembrane precursor protein, which is processed by proteolytic cleavage to produce a 6.0 kDa mature secreted sequence.
Specifications
| Epiregulin | |
| Polyclonal | |
| Unconjugated | |
| Ereg | |
| Ep; Epiregulin; EPR; ER; EREG; Proepiregulin | |
| Rabbit | |
| Antigen affinity chromatography, Protein A | |
| RUO | |
| 2069 | |
| Store at 4°C short term. For long term storage, store at -20°C, avoiding freeze/thaw cycles. | |
| Liquid |
| Flow Cytometry, Immunohistochemistry (Paraffin), Western Blot | |
| 0.45 mg/mL | |
| PBS with 0.09% sodium azide; pH 7.4 | |
| O14944 | |
| Ereg | |
| KLH conjugated synthetic peptide between 137-165 amino acids from the C-terminal region of human EREG. | |
| 400 μL | |
| Primary | |
| Human | |
| Antibody | |
| IgG |
Product Content Correction
Your input is important to us. Please complete this form to provide feedback related to the content on this product.
Product Title
Spot an opportunity for improvement?Share a Content Correction