Learn More
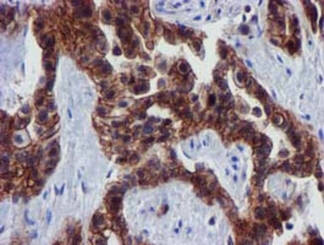
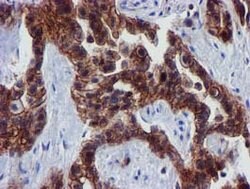
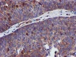
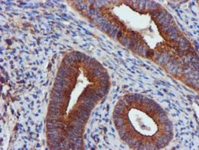
EPN2 Mouse anti-Human, Clone: OTI1F5, lyophilized, TrueMAB™

Description
Reconstitute with PBS (pH 7.3) and recommend to perform another round of desalting process using Product No. 7KMWCO
Specifications
Specifications
| Antigen | EPN2 |
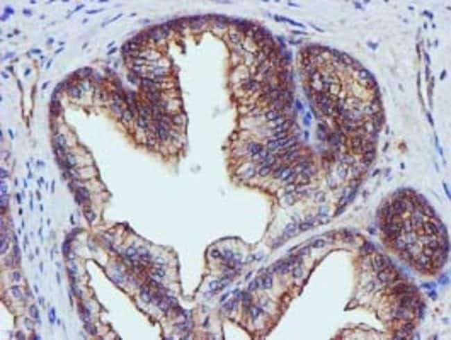
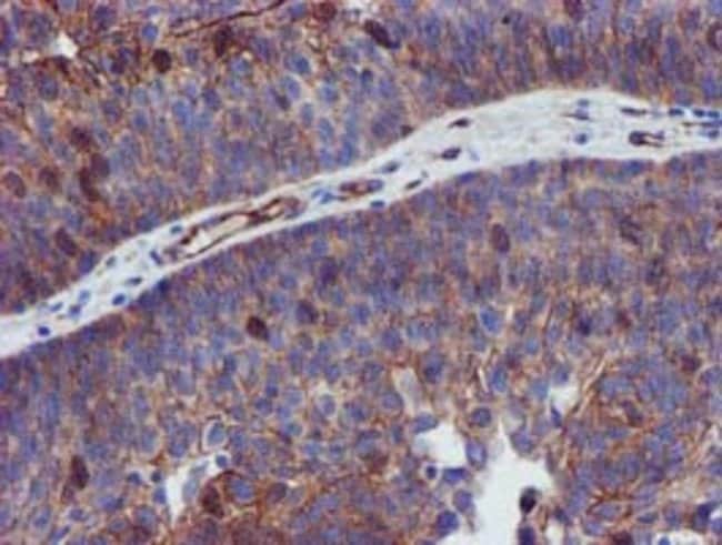
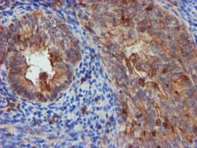
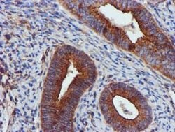
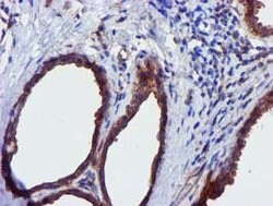
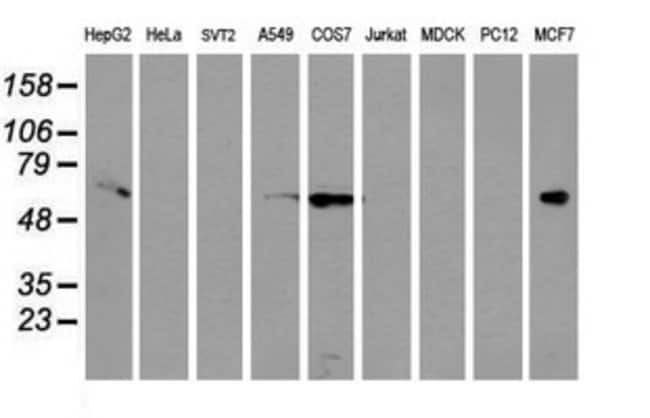
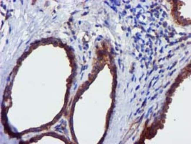
| Applications | Immunohistochemistry (Paraffin), Western Blot |
| Classification | Monoclonal |
| Clone | OTI1F5 |
| Conjugate | Unconjugated |
| Formulation | PBS with 8% trehalose and no preservative; pH 7.3 |
| Gene | EPN2 |
| Gene Accession No. | O95208 |
| Gene Alias | EHB21 |
| Gene Symbols | EPN2 |
| Show More |
By clicking Submit, you acknowledge that you may be contacted by Fisher Scientific in regards to the feedback you have provided in this form. We will not share your information for any other purposes. All contact information provided shall also be maintained in accordance with our Privacy Policy.