Promotional price valid on web orders only. Your contract pricing may differ. Interested in signing up for a dedicated account number?
Learn More
Learn More
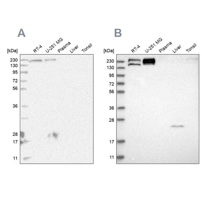
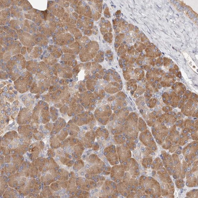
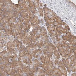
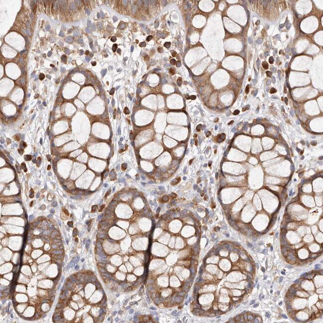
Invitrogen™ EPRS Polyclonal Antibody

Rabbit Polyclonal Antibody
Supplier: Invitrogen™ PA556323
Description
Immunogen sequence: DWYSQVITKS EMIEYHDISG CYILRPWAYA IWEAIKDFFD AEIKKLGVEN CYFPMFVSQS ALEKEKTHVA DFAPEVAWVT RSGKTELA Highest antigen sequence identity to the following orthologs: Mouse - 88%, Rat - 89%.
Aminoacyl-tRNA synthetases are a class of enzymes that charge tRNAs with their cognate amino acids. EPRS is a multifunctional aminoacyl-tRNA synthetase that catalyzes the aminoacylation of glutamic acid and proline tRNA species.
Specifications
| EPRS | |
| Polyclonal | |
| Unconjugated | |
| EPRS1 | |
| 2410081F06Rik; 3010002K18Rik; bifunctional aminoacyl-tRNA synthetase; Bifunctional glutamate/proline--tRNA ligase; C79379; Cell proliferation-inducing gene 32 protein; EARS; Eprs; EPRS1; GLNS; GLUPRORS; GluRS; glutamate tRNA ligase; Glutamate--tRNA ligase; Glutamatyl-prolyl-tRNA synthetase; glutamine-proline-tRNA synthetase; glutaminyl-tRNA synthetase; glutamyl-prolyl-tRNA synthetase; glutamyl-prolyl-tRNA synthetase 1; Glutamyl-tRNA synthetase; PARS; PIG32; proliferation-inducing gene 32 protein; proliferation-inducing protein 32; proline tRNA ligase; proline-tRNA ligase; Proline--tRNA ligase; prolyl-tRNA synthetase; ProRS; QARS; QPRS | |
| Rabbit | |
| Antigen Affinity Chromatography | |
| RUO | |
| 2058 | |
| Store at 4°C short term. For long term storage, store at -20°C, avoiding freeze/thaw cycles. | |
| Liquid |
| Immunohistochemistry (Paraffin), Western Blot, Immunocytochemistry | |
| 0.1 mg/mL | |
| PBS with 40% glycerol and 0.02% sodium azide; pH 7.2 | |
| P07814 | |
| EPRS1 | |
| Recombinant protein corresponding to Human EPRS. Recombinant protein control fragment (Product #RP-94235). | |
| 100 μL | |
| Primary | |
| Human | |
| Antibody | |
| IgG |
Product Content Correction
Your input is important to us. Please complete this form to provide feedback related to the content on this product.
Product Title
Spot an opportunity for improvement?Share a Content Correction