Promotional price valid on web orders only. Your contract pricing may differ. Interested in signing up for a dedicated account number?
Learn More
Learn More
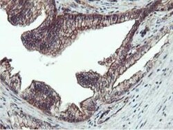
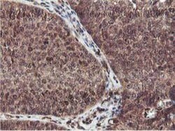
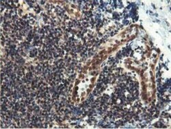
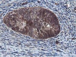
Epsin-2 Antibody (OTI1G3), Novus Biologicals™

Mouse Monoclonal Antibody
Supplier: Novus Biologicals NBP201775
Description
Epsin-2 Monoclonal specifically detects Epsin-2 in Human, Mouse, Rat, Primate, Monkey samples. It is validated for Western Blot, Flow Cytometry, Immunohistochemistry, Immunocytochemistry/Immunofluorescence, Immunohistochemistry-Paraffin.Specifications
Epsin-2 | |
Monoclonal | |
0.73 mg/mL | |
Western Blot 1:500-2000, Flow Cytometry 1:100, Immunohistochemistry 1:10-1:500, Immunocytochemistry/Immunofluorescence 1:100, Immunohistochemistry-Paraffin 1:150 | |
EPN2 | |
Full length human recombinant protein of human EPN2(NP_055779) produced in HEK293T cell. | |
Affinity Purified | |
RUO | |
22905 | |
Store at -20°C. Avoid freeze-thaw cycles. |
Western Blot, Flow Cytometry, Immunohistochemistry, Immunocytochemistry, Immunofluorescence, Immunohistochemistry (Paraffin) | |
OTI1G3 | |
Unconjugated | |
Eps15 binding protein, EPS-15-interacting protein 2, epsin 2, epsin-2, KIAA1065EHB21 | |
Mouse | |
68.3 kDa | |
0.1 mL | |
Primary | |
Human, Mouse, Rat, Primate, Monkey | |
IgG1 |
Product Content Correction
Your input is important to us. Please complete this form to provide feedback related to the content on this product.
Product Title
For Research Use Only
Spot an opportunity for improvement?Share a Content Correction