Promotional price valid on web orders only. Your contract pricing may differ. Interested in signing up for a dedicated account number?
Learn More
Learn More
Epstein Barr Virus Antibody (CS4) - Azide and BSA Free, Novus Biologicals™

Mouse Monoclonal Antibody
Supplier: Novus Biologicals NBP308449
Description
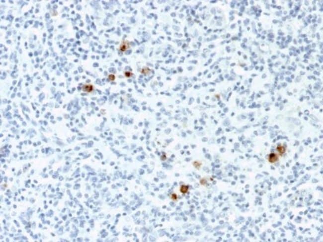
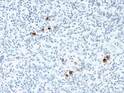
Epstein Barr Virus Monoclonal specifically detects Epstein Barr Virus in Virus samples. It is validated for Western Blot, Immunohistochemistry, Immunocytochemistry/Immunofluorescence, Immunohistochemistry-Paraffin.Specifications
| Epstein Barr Virus | |
| Monoclonal | |
| 1 mg/mL | |
| Western Blot : 1-2 ug/mL, Immunohistochemistry, Immunocytochemistry/Immunofluorescence : 1-2 ug/mL, Immunohistochemistry-Paraffin | |
| Epstein Barr Virus, Human herpesvirus type 4, Hypothetical protein BALF1 | |
| Recombinant fusion protein containing the sequence of bacterial beta-galactosidase and the carboxyl half of EBV-encoded LMP | |
| 100 μg | |
| Primary | |
| Store at -20 to -80C. Avoid freeze-thaw cycles. | |
| IgG1 κ |
| Western Blot, Immunohistochemistry, Immunofluorescence, Immunohistochemistry (Paraffin) | |
| CS4 | |
| Unconjugated | |
| 10mM PBS | |
| Mouse | |
| Protein A or G purified | |
| RUO | |
| Virus | |
| Purified |
Product Content Correction
Your input is important to us. Please complete this form to provide feedback related to the content on this product.
Product Title
Spot an opportunity for improvement?Share a Content Correction