Promotional price valid on web orders only. Your contract pricing may differ. Interested in signing up for a dedicated account number?
Learn More
Learn More
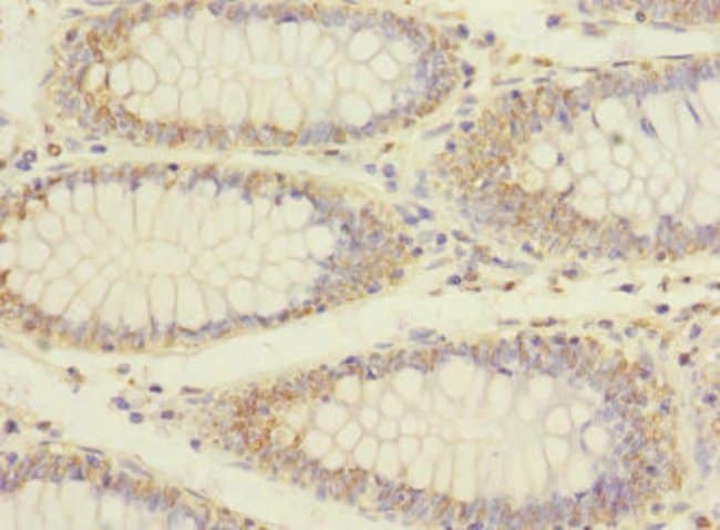
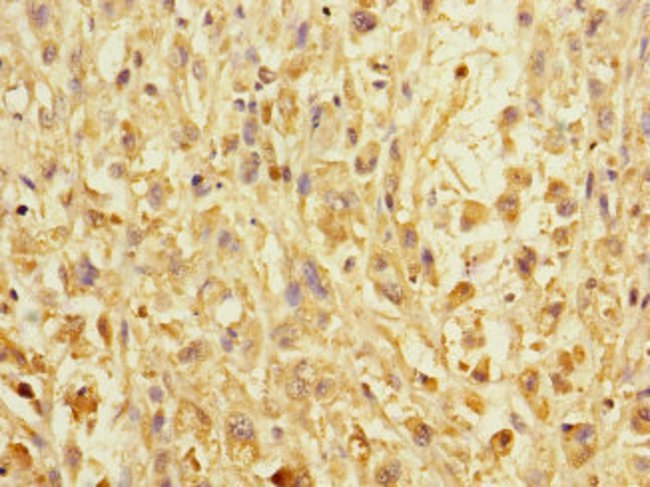
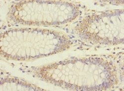
Invitrogen™ Erbin Polyclonal Antibody

Rabbit Polyclonal Antibody
Supplier: Invitrogen™ PA5113310
Description
Erbin Polyclonal Antibody for Western Blot, IHC (P), ELISA
The protein encoded by this gene is a component of the exocyst complex, a multiple protein complex essential for targeting exocytic vesicles to specific docking sites on the plasma membrane. Though best characterized in yeast, the component proteins and functions of exocyst complex have been demonstrated to be highly conserved in higher eukaryotes. At least eight components of the exocyst complex, including this protein, are found to interact with the actin cytoskeletal remodeling and vesicle transport machinery. The complex is also essential for the biogenesis of epithelial cell surface polarity. Alternate transcriptional splice variants, encoding different isoforms, have been characterized.
Specifications
| Erbin | |
| Polyclonal | |
| Unconjugated | |
| ERBIN | |
| 1700028E05Rik; densin-180-like protein; epididymis secretory protein Li 78; Erbb2 interacting protein; ERBB2 interacting protein-like; erbb2-interacting protein; Erbb2ip; Erbin; HEL-S-78; Kiaa1225; Lap2; mKIAA1225; Protein LAP2; RGD1562952; similar to Erbb2 interacting protein isoform 2 | |
| Rabbit | |
| Antigen affinity chromatography | |
| RUO | |
| 55914 | |
| -20°C or -80°C if preferred | |
| Liquid |
| ELISA, Immunohistochemistry (Paraffin), Western Blot | |
| 0.28 mg/mL | |
| PBS with 50% glycerol and 0.02% sodium azide; pH 7.3 | |
| Q96RT1 | |
| ERBIN | |
| Recombinant Human Erbin protein (1193-1412AA). | |
| 100 μL | |
| Primary | |
| Human | |
| Antibody | |
| IgG |
Safety and Handling
WARNING: Cancer - www.P65Warnings.ca.gov
Product Content Correction
Your input is important to us. Please complete this form to provide feedback related to the content on this product.
Product Title
Spot an opportunity for improvement?Share a Content Correction