Learn More
Invitrogen™ eRF1 Polyclonal Antibody

Rabbit Polyclonal Antibody
Supplier: Invitrogen™ PA528777
Description
Recommended positive controls: Neuro 2A, C8D30, NIH-3T3, Raw264.7, C2C12, PC-12, Rat2. Predicted reactivity: Mouse (100%), Rat (100%), Dog (100%), Rabbit (100%), Rhesus Monkey (100%), Bovine (100%). Store product as a concentrated solution. Centrifuge briefly prior to opening the vial.
Termination of protein biosynthesis and release of the nascent polypeptide chain are signaled by the presence of an in-frame stop codon at the aminoacyl site of the ribosome. The process of translation termination is universal and is mediated by protein release factors.
Specifications
| eRF1 | |
| Polyclonal | |
| Unconjugated | |
| ETF1 | |
| AI463371; D5S1995; D6Ertd109e; ERF; ERF1; ETF1; Eukaryotic peptide chain release factor subunit 1; eukaryotic release factor 1; eukaryotic translation termination factor 1; polypeptide chain release factor 1; protein Cl1; RF1; sup45 (yeast omnipotent suppressor 45) homolog-like 1; SUP45L1; TB3-1 | |
| Rabbit | |
| Antigen affinity chromatography | |
| RUO | |
| 2107, 225363, 307503 | |
| Store at 4°C short term. For long term storage, store at -20°C, avoiding freeze/thaw cycles. | |
| Liquid |
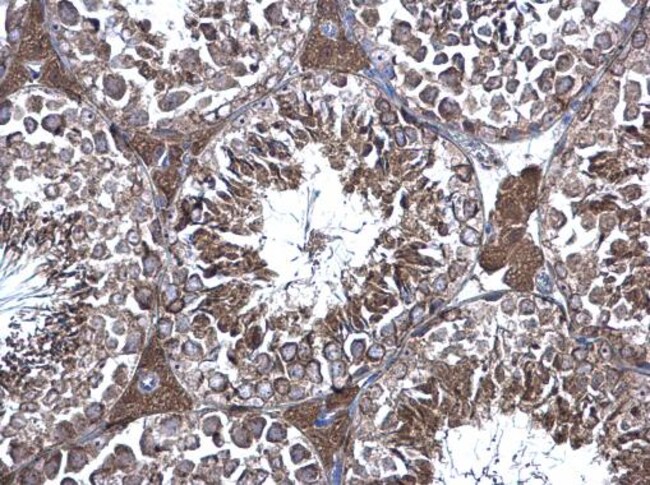
| Immunohistochemistry (Paraffin), Western Blot, Immunocytochemistry | |
| 0.91 mg/mL | |
| 0.1M tris glycine with 10% glycerol and 0.01% thimerosal; pH 7 | |
| P62495, Q5U2Q7, Q8BWY3 | |
| ETF1 | |
| Carrier-protein conjugated synthetic peptide encompassing a sequence within the C-terminus region of human eRF1. The exact sequence is proprietary. | |
| 100 μL | |
| Primary | |
| Human, Mouse, Rat | |
| Antibody | |
| IgG |
Safety and Handling
Your input is important to us. Please complete this form to provide feedback related to the content on this product.