Promotional price valid on web orders only. Your contract pricing may differ. Interested in signing up for a dedicated account number?
Learn More
Learn More
Invitrogen™ ERK2 Polyclonal Antibody

Rabbit Polyclonal Antibody
Supplier: Invitrogen™ PA5116528
Description
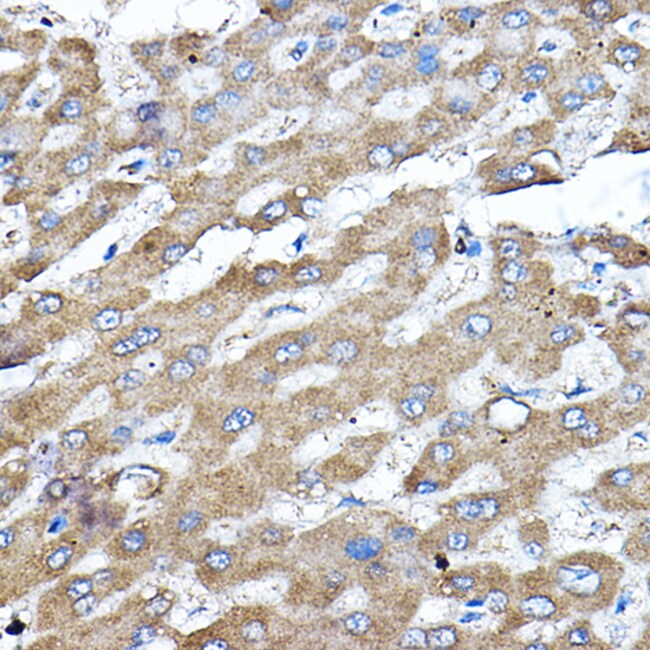
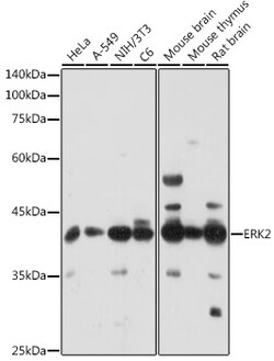
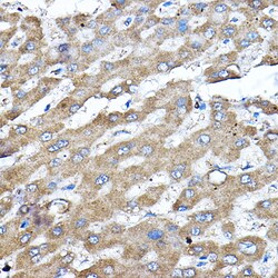
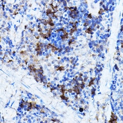
Positive Samples: HeLa, A-549, NIH/3T3, C6, Mouse brain, Mouse thymus, Rat brain Immunogen sequence: LNSKGYTKSI DIWSVGCILA EMLSNRPIFP GKHYLDQLNH ILGILGSPSQ EDLNCIINLK ARNYLLSLPH KNKVPWNRLF PNADSKALDL LDKMLTFNPH K.
MAPK1 (ERK2) is a serine/threonine kinase that acts as an important activator of p90 RSK, MSK, ELK1, and Stat3, and is involved in the MAPK pathway. MAP kinases, also known as extracellular signal-regulated kinases (ERKs), act as an integration point for multiple biochemical signals, and are involved in a wide variety of cellular processes such as proliferation, differentiation, transcription regulation and development. The activation of this kinase requires its phosphorylation by upstream kinases. Upon activation, this kinase translocates to the nucleus of the stimulated cells, where it phosphorylates nuclear targets.
Specifications
ERK2 | |
Polyclonal | |
Unconjugated | |
MAPK1 | |
9030612K14Rik; AA407128; AU018647; C78273; ERK; ERK2; ERK-2; ERT1; extracellular signal-regulated kinase 2; extracellular signal-regulated kinase-2; extracellular-signal-regulated kinase 2; MAP kinase 1; MAP kinase 2; MAP kinase isoform p42; Mapk; MAPK 1; MAPK 2; Mapk1; MAPK2; mitogen activated protein kinase 1; mitogen-activated protein kinase 1; Mitogen-activated protein kinase 2; p38; p40; p41; p41mapk; P42MAPK; p42-MAPK; Prkm1; PRKM2; protein tyrosine kinase ERK2 | |
Rabbit | |
Affinity chromatography | |
RUO | |
116590, 26413, 5594 | |
-20°C, Avoid Freeze/Thaw Cycles | |
Liquid |
ELISA, Immunohistochemistry (Paraffin), Western Blot, Immunocytochemistry | |
0.93 mg/mL | |
PBS with 50% glycerol and 0.09% sodium azide; pH 7.3 | |
P28482, P63085, P63086 | |
MAPK1 | |
A synthetic peptide corresponding to a sequence within amino acids 200-300 of human ERK2 (NP_0027363). | |
100 μL | |
Primary | |
Human, Mouse, Rat | |
Antibody | |
IgG |
Product Content Correction
Your input is important to us. Please complete this form to provide feedback related to the content on this product.
Product Title
Spot an opportunity for improvement?Share a Content Correction