Promotional price valid on web orders only. Your contract pricing may differ. Interested in signing up for a dedicated account number?
Learn More
Learn More
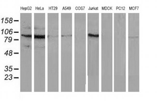
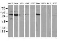
Invitrogen™ ERK5 Monoclonal Antibody (OTI3D4)

Mouse Monoclonal Antibody
Supplier: Invitrogen™ MA525351
Description
ERK5 Monoclonal Antibody for Western Blot, ICC/IF, Flow
MAPK7 (ERK5) serine/threonine kinase is a member of the MAP kinase family and is involved in a wide variety of cellular processes such as proliferation, differentiation, transcription regulation and development. MAPK7 is activated by mitogen-activated protein kinase 5 (MAP2K5/MEK5) and is involved in downstream signaling processes of various receptors. In response to extracelluar signals, MAPK7 translocates to the cell nucleus where it regulates gene expression by phosphorylating and activating different transcription factors. Gene deletion of MAPK7 in mice results in defective blood vessel and cardiac development leading to embryonic lethality. MAPK7 has been shown to be critical for endothelial function and maintenance of blood vessel integrity. Four alternatively spliced transcript variants of this gene encoding two distinct isoforms have been reported. ERK5 is expressed in many adult tissues, abundantly in heart, placenta, lung, kidney and skeletal muscle, but is not detectable in liver.
Specifications
ERK5 | |
Monoclonal | |
0.35 mg/mL | |
PBS with 1% BSA, 50% glycerol and 0.02% sodium azide; pH 7.3 | |
Q13164 | |
MAPK7 | |
Full length human recombinant protein of MAPK7 produced in HEK293T cell. | |
100 μL | |
Primary | |
Human | |
Antibody | |
IgG2a |
Flow Cytometry, Western Blot, Immunocytochemistry | |
OTI3D4 | |
Unconjugated | |
MAPK7 | |
Big MAP kinase 1; BMK1; BMK-1; BMK1 kinase; BNhp-1; BNhp1 kinase; ERK4; ERK5; ERK-5; Erk5-T; extracellular signal regulated kinase 5; extracellular signal-regulated kinase 5; extracellular-signal-regulated kinase 5; MAP kinase 7; MAPK 7; Mapk7; mitogen activated protein kinase 7; mitogen-activated protein kinase 7; PRKM7 | |
Mouse | |
Affinity Chromatography | |
RUO | |
5598 | |
-20°C, Avoid Freeze/Thaw Cycles | |
Liquid |
Product Content Correction
Your input is important to us. Please complete this form to provide feedback related to the content on this product.
Product Title
Spot an opportunity for improvement?Share a Content Correction