Promotional price valid on web orders only. Your contract pricing may differ. Interested in signing up for a dedicated account number?
Learn More
Learn More
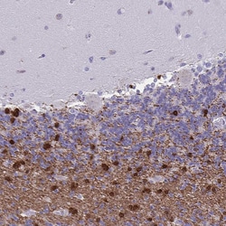
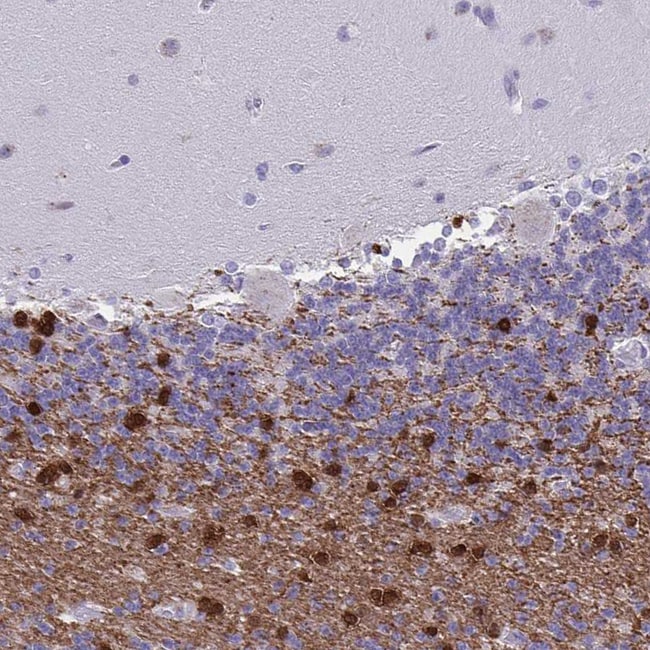
Invitrogen™ ERMN Polyclonal Antibody

Rabbit Polyclonal Antibody
Supplier: Invitrogen™ PA558327
Description
Immunogen sequence: LHSKHDEEQK VWDEEIDDDD DDNCNNDEDE VRVIEFKKKH EEVSQFKEEG DASEDSPLSS ASSQAVTPDE QPTLGKKSDI SRNAYSRYNT ISYRK Highest antigen sequence identity to the following orthologs: Mouse - 66%, Rat - 69%.
ERMIN plays a role in cytoskeletal rearrangements during the late wrapping and/or compaction phases of myelinogenesis as well as in maintenance and stability of myelin sheath in the adult. ERMIN may play an important role in late-stage oligodendroglia maturation, myelin/Ranvier node formation during CNS development, and in the maintenance and plasticity of related structures in the mature CNS.
Specifications
ERMN | |
Polyclonal | |
Unconjugated | |
Ermn | |
A330104H05Rik; AI854460; ermin; ermin, ERM-like protein; Ermn; JN; juxtanodin; Kiaa1189; mKIAA1189; RGD1308367 | |
Rabbit | |
Antigen affinity chromatography | |
RUO | |
57471 | |
Store at 4°C short term. For long term storage, store at -20°C, avoiding freeze/thaw cycles. | |
Liquid |
Immunohistochemistry (Paraffin), Western Blot | |
0.1 mg/mL | |
PBS with 40% glycerol and 0.02% sodium azide; pH 7.2 | |
Q8TAM6 | |
Ermn | |
Recombinant protein corresponding to Human ERMN. Recombinant protein control fragment (Product #RP-96087). | |
100 μL | |
Primary | |
Human | |
Antibody | |
IgG |
Safety and Handling
WARNING: Cancer - www.P65Warnings.ca.gov
Product Content Correction
Your input is important to us. Please complete this form to provide feedback related to the content on this product.
Product Title
Spot an opportunity for improvement?Share a Content Correction