Learn More
Invitrogen™ ETFA Polyclonal Antibody

Rabbit Polyclonal Antibody
Supplier: Invitrogen™ PA5121123
Description
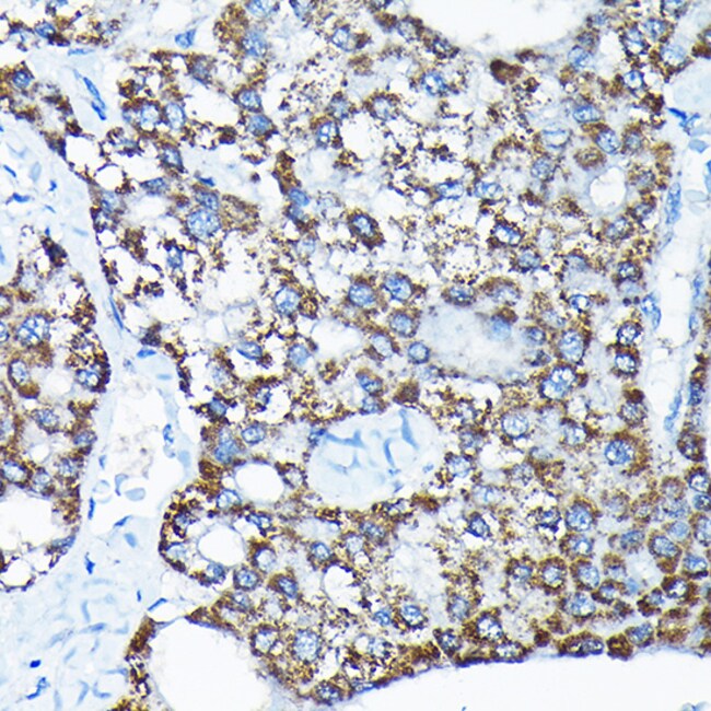
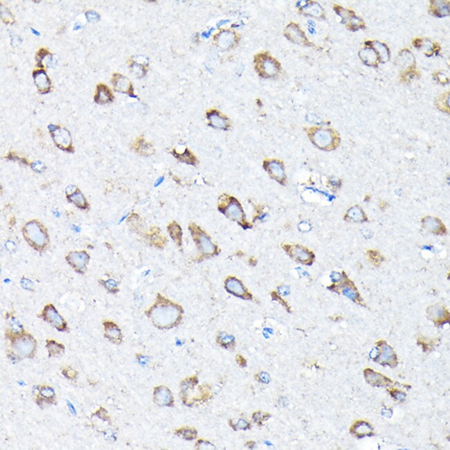
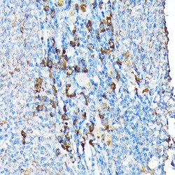
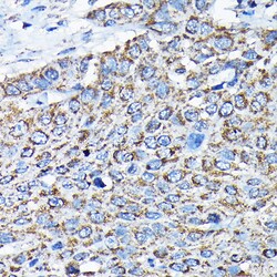
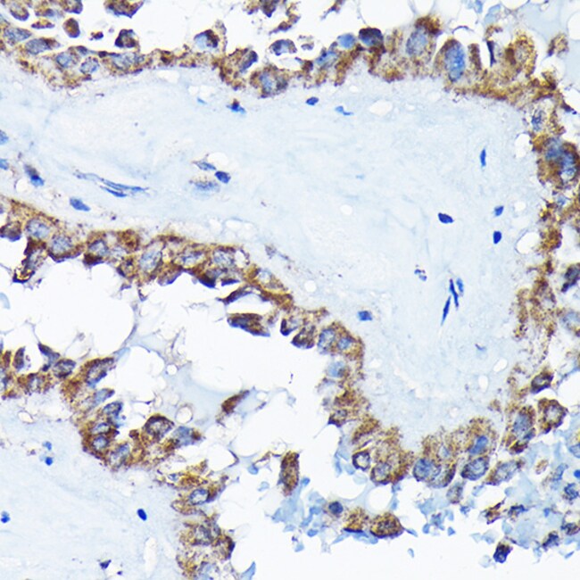
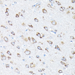
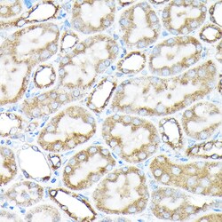
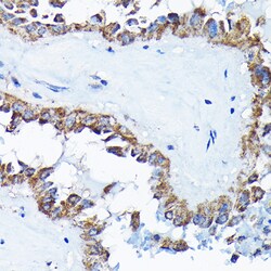
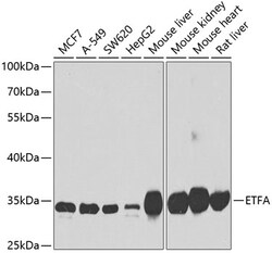
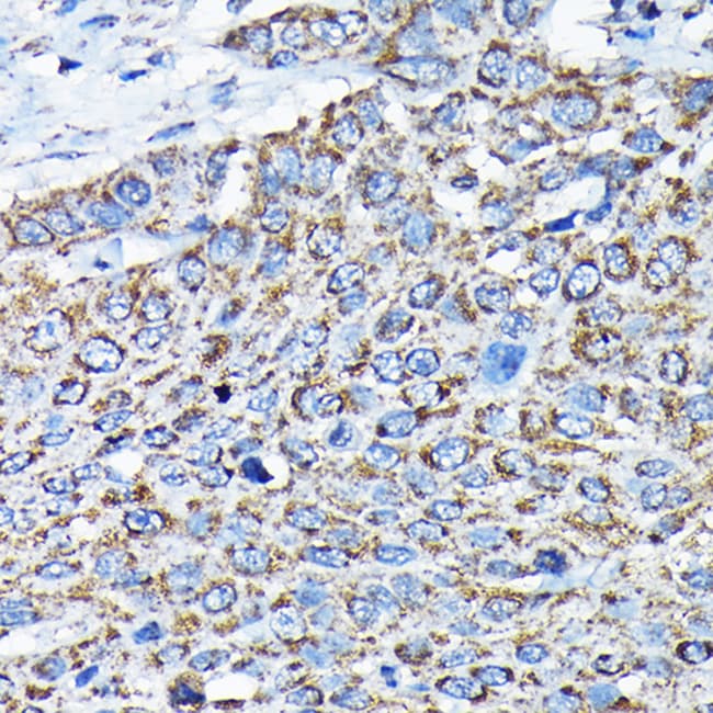
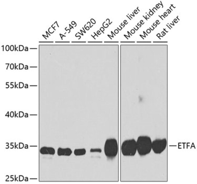
Positive test controls include: MCF7, A-549, SW620, HepG2, Mouse liver, Mouse kidney, Mouse heart, Rat liver. The target is usually found in the following locations: Mitochondrion matrix. Immunogen sequence: MFRAAAPGQL RRAASLLRFQ STLVIAEHAN DSLAPITLNT ITAATRLGGE VSCLVAGTKC DKVAQDLCKV AGIAKVLVAQ HDVYKGLLPE ELTPLILATQ KQFNYTHICA GASAFGKNLL PRVAAKLEVA PISDIIAIKS PDTFVRTIYA GNALCTVKCD EKVKVFSVRG TSFDAAATSG GSASSEKASS TSPVEISEWL DQKLTKSDRP ELTGAKVVVS GGRGLKSGEN FKLLYDLADQ LHAAVGASRA AVDAGFVPND MQVGQTGKIV APELYIAVGI SGAIQHLAGM KDSKTIVAIN KDPEAPIFQV ADYGIVADLF KVVPEMTEIL KKK.
ETFA participates in catalyzing the initial step of the mitochondrial fatty acid beta-oxidation. It shuttles electrons between primary flavoprotein dehydrogenases and the membrane-bound electron transfer flavoprotein ubiquinone oxidoreductase. Defects in electron-transfer-flavoprotein have been implicated in type II glutaricaciduria in which multiple acyl-CoA dehydrogenase deficiencies result in large excretion of glutaric, lactic, ethylmalonic, butyric, isobutyric, 2-methyl-butyric, and isovaleric acids. Two transcript variants encoding different isoforms have been found for this gene.
Specifications
| ETFA | |
| Polyclonal | |
| Unconjugated | |
| ETFA | |
| 2010200I21Rik; Alpha-ETF; D9Ertd394e; electron transfer flavoprotein alpha subunit; electron transfer flavoprotein alpha-subunit; electron transfer flavoprotein subunit alpha, mitochondrial; electron transfer flavoprotein, alpha polypeptide; electron transferring flavoprotein, alpha polypeptide; electron-transfer-flavoprotein alpha polypeptide; electron-transfer-flavoprotein, alpha polypeptide; EMA; ETF; ETFA; GA2; glutaric aciduria II; MADD | |
| Rabbit | |
| Affinity Chromatography | |
| RUO | |
| 110842, 2108, 300726 | |
| -20°C, Avoid Freeze/Thaw Cycles | |
| Liquid |
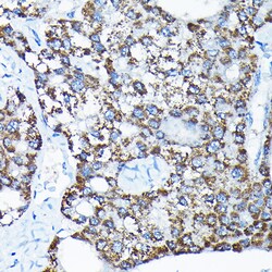
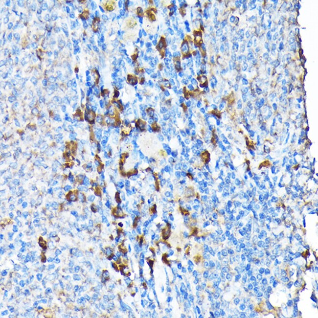
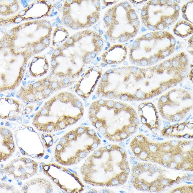
| ELISA, Immunohistochemistry (Paraffin), Immunoprecipitation, Western Blot | |
| 0.85 mg/mL | |
| PBS with 50% glycerol and 0.02% sodium azide; pH 7.3 | |
| P13803, P13804, Q99LC5 | |
| ETFA | |
| Recombinant fusion protein containing a sequence corresponding to amino acids 1-333 of human ETFA (NP_000117.1). | |
| 100 μL | |
| Primary | |
| Human, Mouse, Rat | |
| Antibody | |
| IgG |
Your input is important to us. Please complete this form to provide feedback related to the content on this product.