Promotional price valid on web orders only. Your contract pricing may differ. Interested in signing up for a dedicated account number?
Learn More
Learn More
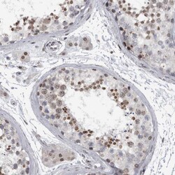
Invitrogen™ EVI5 Polyclonal Antibody

Rabbit Polyclonal Antibody
Supplier: Invitrogen™ PA555587
Description
Immunogen sequence: MVTNKMTAAF RNPSGKQVAT DKVAEKLSST LSWVKNTVSH TVSQMASQVA SPSTSLHTTS SSTTLSTPAL SPSSPSQLSP D Highest antigen sequence identity to the following orthologs: Mouse - 90%, Rat - 89%.
EVI5 is a novel centrosomal protein with a complex expression pattern and subcellular localization, possibly involved in centrosome stability and dynamics. It may act as an oncogene.
Specifications
| EVI5 | |
| Polyclonal | |
| Unconjugated | |
| EVI5 | |
| dJ846D11.1 (ecotropic viral integration site 5); ecotropic viral integration site 5; ecotropic viral integration site 5 protein; ecotropic viral integration site 5 protein homolog; EVI5; EVI-5; NB4S; Neuroblastoma stage 4S gene protein | |
| Rabbit | |
| Antigen Affinity Chromatography | |
| RUO | |
| 7813 | |
| Store at 4°C short term. For long term storage, store at -20°C, avoiding freeze/thaw cycles. | |
| Liquid |
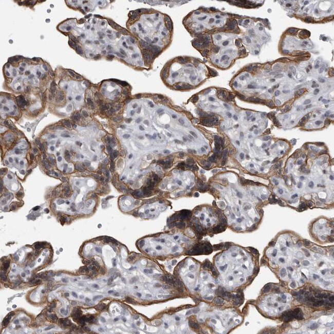
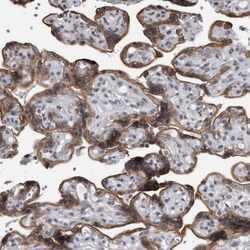
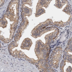
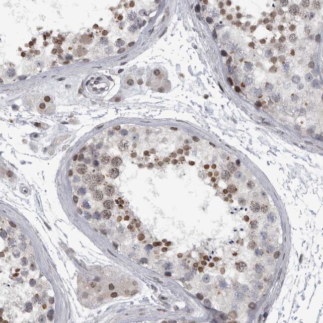
| Immunohistochemistry (Paraffin), Immunocytochemistry | |
| 0.1 mg/mL | |
| PBS with 40% glycerol and 0.02% sodium azide; pH 7.2 | |
| O60447 | |
| EVI5 | |
| Recombinant protein corresponding to Human EVI5. Recombinant protein control fragment (Product #RP-94004). | |
| 100 μL | |
| Primary | |
| Human | |
| Antibody | |
| IgG |
Safety and Handling
WARNING: Cancer - www.P65Warnings.ca.gov
Product Content Correction
Your input is important to us. Please complete this form to provide feedback related to the content on this product.
Product Title
Spot an opportunity for improvement?Share a Content Correction