Promotional price valid on web orders only. Your contract pricing may differ. Interested in signing up for a dedicated account number?
Learn More
Learn More
Invitrogen™ EWSR1 Recombinant Rabbit Monoclonal Antibody (JE49-57)

Rabbit Recombinant Monoclonal Antibody
Supplier: Invitrogen™ MA534868
Description
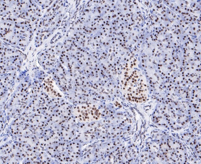
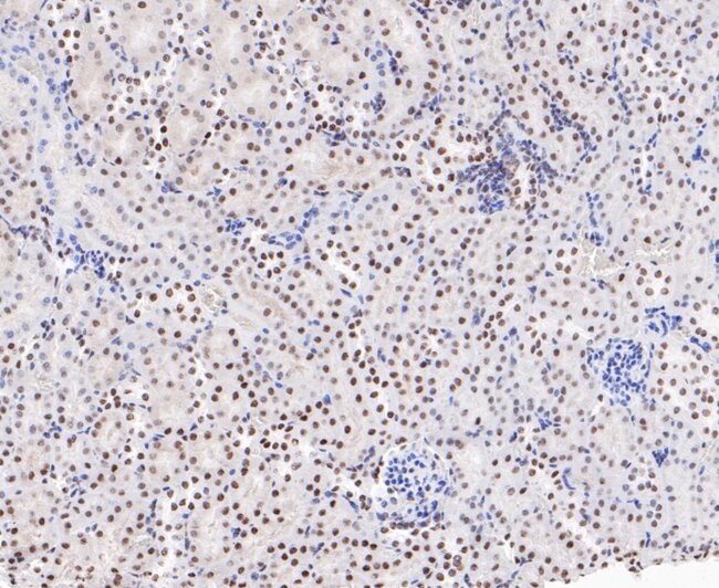
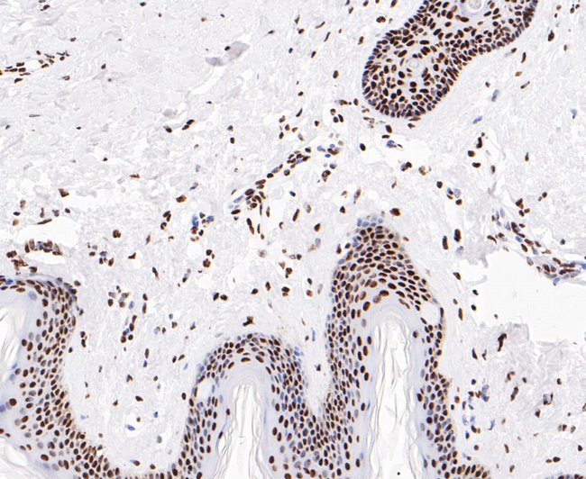
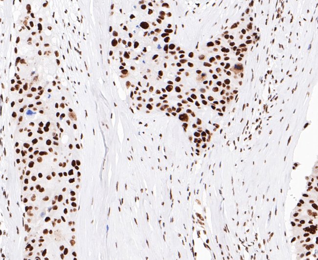
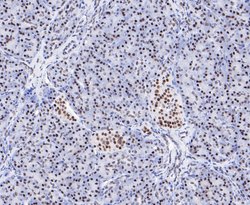
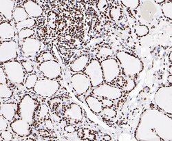
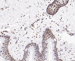
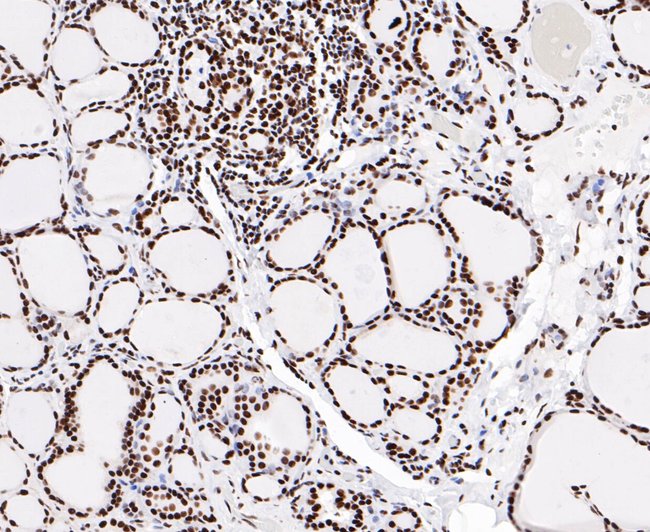
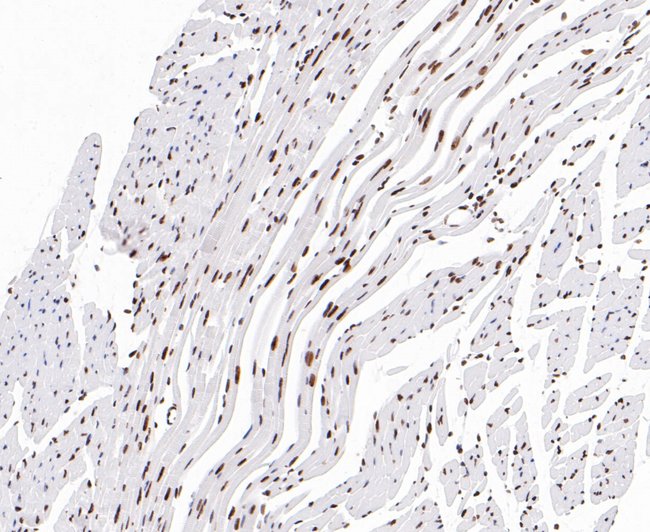
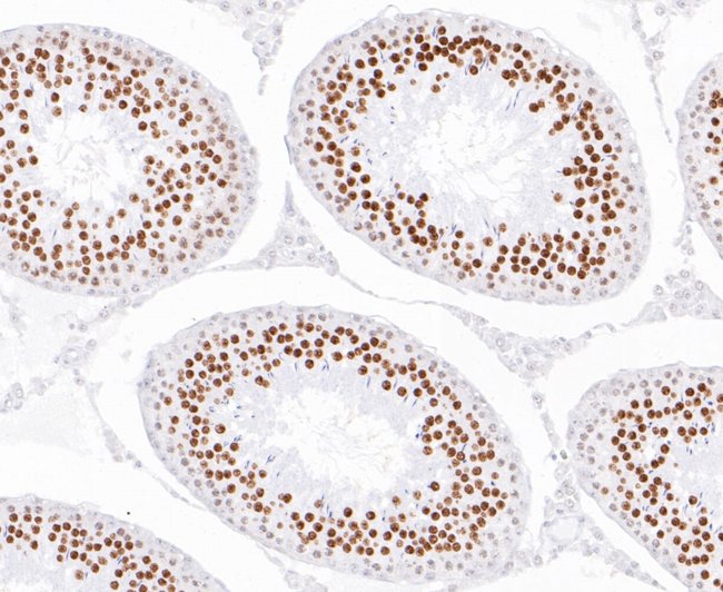
Positive Control: K562, A431, SK-BR-3, rat testis tissue, human thyroid gland tissue, human skin tissue, human breast cancer tissue, human pancreas tissue, mouse kidney tissue, mouse heart tissue.
This gene encodes a multifunctional protein that is involved in various cellular processes, including gene expression, cell signaling, and RNA processing and transport. The protein includes an N-terminal transcriptional activation domain and a C-terminal RNA-binding domain. Chromosomal translocations between this gene and various genes encoding transcription factors result in the production of chimeric proteins that are involved in tumorigenesis. These chimeric proteins usually consist of the N-terminal transcriptional activation domain of this protein fused to the C-terminal DNA-binding domain of the transcription factor protein. Mutations in this gene, specifically a ttranslocation, are known to cause Ewing sarcoma as well as neuroectodermal and various other tumors. Alternative splicing of this gene results in multiple transcript variants. Related pseudogenes have been identified on chromosomes 1 and 14.
Specifications
EWSR1 | |
Recombinant Monoclonal | |
1 mg/mL | |
TBS with 0.05% BSA, 40% glycerol and 0.05% sodium azide; pH 7.4 | |
Q01844 | |
EWSR1 | |
Recombinant protein within Human EWSR1/EWS aa 1-229. | |
100 μL | |
Primary | |
Human | |
Antibody | |
IgG |
Immunohistochemistry (Paraffin), Western Blot, Immunocytochemistry | |
JE49-57 | |
Unconjugated | |
EWSR1 | |
AC002059.7; bK984G1.4; Ewing sarcoma breakpoint region 1; Ewing sarcoma breakpoint region 1 protein; Ewing sarcoma homolog; Ewings sarcoma EWS-Fli1 (type 1) oncogene; Ews; EWS oncogene; EWS RNA binding protein 1; EWS RNA-binding protein 1; EWS RNA-binding protein variant 6; EWS-FLI1; Ewsh; EWSR1; RNA-binding protein EWS | |
Rabbit | |
Protein A | |
RUO | |
2130 | |
-20°C, Avoid Freeze/Thaw Cycles, store in dark | |
Liquid |
Product Content Correction
Your input is important to us. Please complete this form to provide feedback related to the content on this product.
Product Title
Spot an opportunity for improvement?Share a Content Correction