Promotional price valid on web orders only. Your contract pricing may differ. Interested in signing up for a dedicated account number?
Learn More
Learn More
EXOC4 Polyclonal Antibody

EXOC4 Polyclonal Antibody
Supplier: Thermo Scientific PA556747
Description
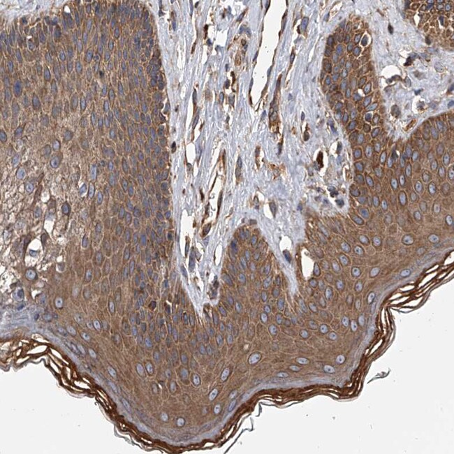
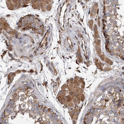
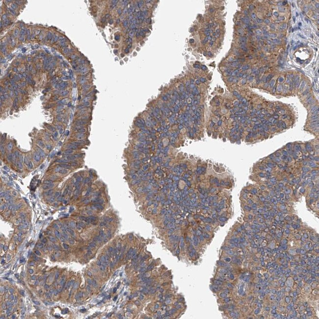
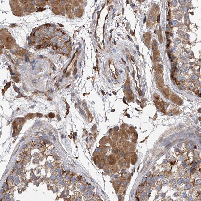
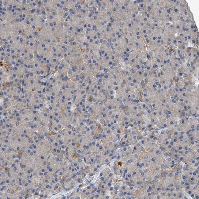
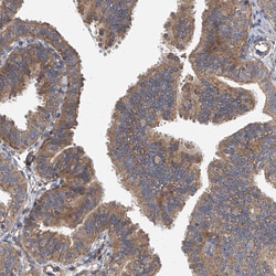
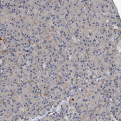
EXOC4 Polyclonal Antibody for Western Blot, ICC/IF, IHC

Specifications
EXOC4 | |
Polyclonal | |
Unconjugated | |
EXOC4 | |
ALR; augmenter of liver regeneration (ALR) pseudogene; C78892; Exoc4; Exocyst complex component 4; exocyst complex component 4 tv1; Exocyst complex component 4-like protein; exocyst complex component Sec8; KIAA1699; LOW QUALITY PROTEIN: exocyst complex component 4; MGC27170; REC8; rSec8; Sec8; SEC8 protein; Sec8l1; SEC8-like 1; Sec8p; secretory protein SEC8; si:ch211-92l17.2; si:rp71-18a24.2 | |
Rabbit | |
Antigen Affinity Chromatography | |
RUO | |
60412 | |
Store at 4°C short term. For long term storage, store at -20°C, avoiding freeze/thaw cycles. | |
Liquid |
Immunohistochemistry (Paraffin), Western Blot, Immunocytochemistry | |
0.1 mg/mL | |
PBS with 40% glycerol and 0.02% sodium azide; pH 7.2 | |
Q96A65 | |
EXOC4 | |
Recombinant protein corresponding to Human EXOC4. Recombinant protein control fragment (Product #RP-92471). | |
100 μL | |
Primary | |
Human | |
Antibody | |
IgG |
Product Content Correction
Your input is important to us. Please complete this form to provide feedback related to the content on this product.
Product Title
Spot an opportunity for improvement?Share a Content Correction