Learn More
Invitrogen™ EXOSC7 Recombinant Rabbit Monoclonal Antibody (0B8G6)
Rabbit Recombinant Monoclonal Antibody
Supplier: Invitrogen™ MA542591
Description
Positive test controls include: HepG2, A-431, K-562, U-251MG. The target is usually found in the following locations: Cytoplasm, Nucleus, nucleolus. Immunogen sequence: LSVENVPCIV TLCKIGYRHV VDATLQEEAC SLASLLVSVT SKGVVTCMRK VGKGSLDPES IFEMMETGKR VGKVLHASLQ SVVHKEESLG PKRQKVGFLG.
Non-catalytic component of the RNA exosome complex which has 3'->5' exoribonuclease activity and participates in a multitude of cellular RNA processing and degradation events. In the nucleus, the RNA exosome complex is involved in proper maturation of stable RNA species such as rRNA, snRNA and snoRNA, in the elimination of RNA processing by-products and non-coding 'pervasive' transcripts, such as antisense RNA species and promoter-upstream transcripts (PROMPTs), and of mRNAs with processing defects, thereby limiting or excluding their export to the cytoplasm. The RNA exosome may be involved in Ig class switch recombination (CSR) and/or Ig variable region somatic hypermutation (SHM) by targeting AICDA deamination activity to transcribed dsDNA substrates. In the cytoplasm, the RNA exosome complex is involved in general mRNA turnover and specifically degrades inherently unstable mRNAs containing AU-rich elements (AREs) within their 3' untranslated regions, and in RNA surveillance pathways, preventing translation of aberrant mRNAs. It seems to be involved in degradation of histone mRNA. The catalytic inactive RNA exosome core complex of 9 subunits (Exo-9) is proposed to play a pivotal role in the binding and presentation of RNA for ribonucleolysis, and to serve as a scaffold for the association with catalytic subunits and accessory proteins or complexes.
Specifications
EXOSC7 | |
Recombinant Monoclonal | |
0.33 mg/mL | |
PBS with 0.05% BSA, 50% glycerol and 0.02% sodium azide; pH 7.3 | |
Q15024 | |
EXOSC7 | |
A synthetic peptide corresponding to a sequence within amino acids 192-291 of human EXOSC7 (Q15024). | |
100 μL | |
Primary | |
Human | |
Antibody | |
IgG |
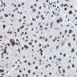
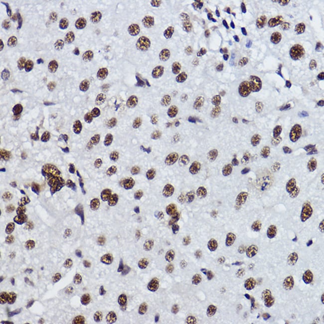
ELISA, Immunohistochemistry (Paraffin), Western Blot | |
0B8G6 | |
Unconjugated | |
EXOSC7 | |
2610002K22Rik; AV212732; EAP1; EGK_11725; EXOSC7; Exosome complex component RRP42; exosome complex exonuclease RRP42; exosome complex exonuclease RRP42; exosome complex component RRP42; Exosome complex exonuclease RRP42-like protein; exosome component 7; hRrp42p; hypothetical protein LOC550247; KIAA0116; mKIAA0116; p8; Ribosomal RNA-processing protein 42; RRP42; Rrp42p; zgc:110717 | |
Rabbit | |
Affinity Chromatography | |
RUO | |
23016 | |
-20°C, Avoid Freeze/Thaw Cycles | |
Liquid |
Your input is important to us. Please complete this form to provide feedback related to the content on this product.