Promotional price valid on web orders only. Your contract pricing may differ. Interested in signing up for a dedicated account number?
Learn More
Learn More
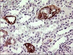
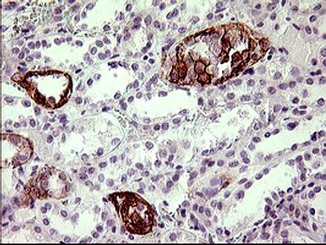
F11R Monoclonal Antibody (OTI3H3), TrueMAB™, OriGene

Mouse Monoclonal Antibody
Supplier: OriGene TA506017
Description
CD321 (F11R, JAM-1, JAM-A) is a cell-surface adhesion molecule belonging to the Ig superfamily of receptors. CD321 is a 32-41 kD glycoprotein, possessing two extracellular Ig-like domains, a transmembrane region, and a short cytosolic tail. The protein assembles at the membrane as a homodimer, and can associate laterally with other membrane proteins including integrins. CD321 is expressed on a variety of cell types, including leukocytes, platelets, erythrocytes, stem cells, epithelial and endothelial cells, and plays a role in mediating cell-cell contact. CD321 can be found in close proximity to several components of epithelial tight junctions, including ZO-1 and occludin. CD321 is involved in the maintece of epithelial and endothelial barriers, hematopoiesis, angiogenesis, and tumor proliferation, invasion, and metastasis.Specifications
| F11R | |
| Monoclonal | |
| Unconjugated | |
| F11R | |
| CD321, JAM, JAM1, JAMA, JCAM, KAT, PAM-1 | |
| Mouse | |
| Affinity Chromatography | |
| RUO | |
| 50848 | |
| -20° C, Avoid Freeze/Thaw Cycles | |
| Liquid |
| Immunocytochemistry, Immunofluorescence, Immunohistochemistry (Paraffin), Western Blot | |
| OTI3H3 | |
| PBS with 1% BSA, 50% glycerol and 0.02% sodium azide | |
| Q9Y624 | |
| F11R | |
| Full length human recombit protein of human F11R produced in HEK293T cell. | |
| 100 μL | |
| Primary | |
| Human | |
| Antibody | |
| IgG2b |
Product Content Correction
The Fisher Scientific Encompass Program offers items which are not part of our distribution portfolio. These products typically do not have pictures or detailed descriptions. However, we are committed to improving your shopping experience. Please use the form below to provide feedback related to the content on this product.
Product Title
Spot an opportunity for improvement?Share a Content Correction