Promotional price valid on web orders only. Your contract pricing may differ. Interested in signing up for a dedicated account number?
Learn More
Learn More
Invitrogen™ FA156 Polyclonal Antibody

Rabbit Polyclonal Antibody
Supplier: Invitrogen™ PA5112242
Description
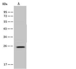
Specificity: Human FA156.
Specifications
| FA156 | |
| Polyclonal | |
| Unconjugated | |
| FAM156A | |
| FAM156A; FAM156B; family with sequence similarity 156 member A; family with sequence similarity 156, member A; PP12994; PRO0659; protein FAM156A; protein FAM156A/FAM156B; TMEM29; TMEM29B; transmembrane protein 29; transmembrane protein 29/29B | |
| Rabbit | |
| Antigen affinity chromatography, Protein A | |
| RUO | |
| 29057 | |
| Store at 4°C short term. For long term storage, store at -20°C, avoiding freeze/thaw cycles. | |
| Liquid |
| Immunoprecipitation, Western Blot | |
| 1 mg/mL | |
| PBS with 0.03% ProClin 300; pH 7 | |
| Q8NDB6 | |
| FAM156A | |
| E. coli-derived Human FAM156A fragment. | |
| 100 μL | |
| Primary | |
| Human | |
| Antibody | |
| IgG |
Product Content Correction
Your input is important to us. Please complete this form to provide feedback related to the content on this product.
Product Title
Spot an opportunity for improvement?Share a Content Correction