Promotional price valid on web orders only. Your contract pricing may differ. Interested in signing up for a dedicated account number?
Learn More
Learn More
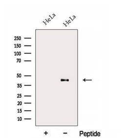
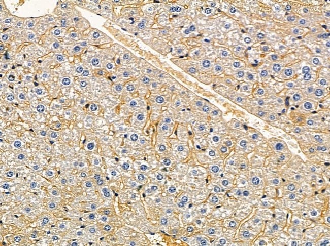
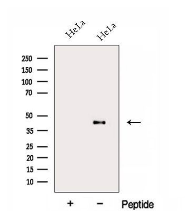
Invitrogen™ FA2H Polyclonal Antibody

Rabbit Polyclonal Antibody
Supplier: Invitrogen™ PA5100512
Description
Antibody detects endogenous levels of total FA2H.
FA2H is a protein that catalyzes the synthesis of 2-hydroxysphingolipids, a subset of sphingolipids that contain 2-hydroxy fatty acids. Sphingolipids play roles in many cellular processes and their structural diversity arises from modification of the hydrophobic ceramide moiety, such as by 2-hydroxylation of the N-acyl chain, and the existence of many different head groups.
Specifications
FA2H | |
Polyclonal | |
Unconjugated | |
FA2H | |
FA2H; FAAH; FAH1; Fatty acid 2-hydroxylase; fatty acid alpha-hydroxylase; fatty acid hydroxylase domain containing 1; Faxdc1; FLJ25287; G630055L08Rik; RGD1310347; SCS7; spastic paraplegia 35 (autosomal recessive); SPG35; WD repeat domain 59; Wdr59 | |
Rabbit | |
Affinity chromatography | |
RUO | |
307855, 338521, 79152 | |
-20°C | |
Liquid |
Immunohistochemistry (Paraffin), Western Blot | |
1 mg/mL | |
PBS with 50% glycerol and 0.02% sodium azide; pH 7.4 | |
Q2LAM0, Q5MPP0, Q7L5A8 | |
FA2H | |
A synthesized peptide derived from human FA2H(Accession Q7L5A8), corresponding to amino acid residues L33-G83. | |
100 μL | |
Primary | |
Human, Mouse, Rat | |
Antibody | |
IgG |
Product Content Correction
Your input is important to us. Please complete this form to provide feedback related to the content on this product.
Product Title
Spot an opportunity for improvement?Share a Content Correction