Promotional price valid on web orders only. Your contract pricing may differ. Interested in signing up for a dedicated account number?
Learn More
Learn More
Invitrogen™ FABP4 Monoclonal Antibody (C12), Invitrogen™
Mouse Monoclonal Antibody
Supplier: Invitrogen™ MA551020
Description
FABP4 belongs to the fatty acid binding protein (FABP) family. FABPs contribute to the transport of fatty acids and other lipids in various cellular pathways. FABP4 is expressed in adipocytes, macrophages, monocyte-derived dendritic cells, and myoepithelial cells. It delivers long-chain fatty acids and retinoic acid to their cognate receptors in the nucleus.
Specifications
FABP4 | |
Monoclonal | |
1 mg/mL | |
PBS with 50% glycerol and 0.05% Proclin 300; pH 7.4 | |
O97788, P15090, P70623 | |
FABP4 | |
Recombinant Human FABP4 protein, Cys2-Ala132 (Accession #P15090). | |
20 μL | |
Primary | |
Human, Pig, Rat | |
Antibody | |
IgG1 κ |
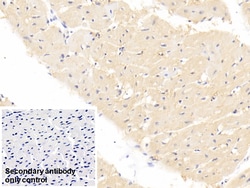
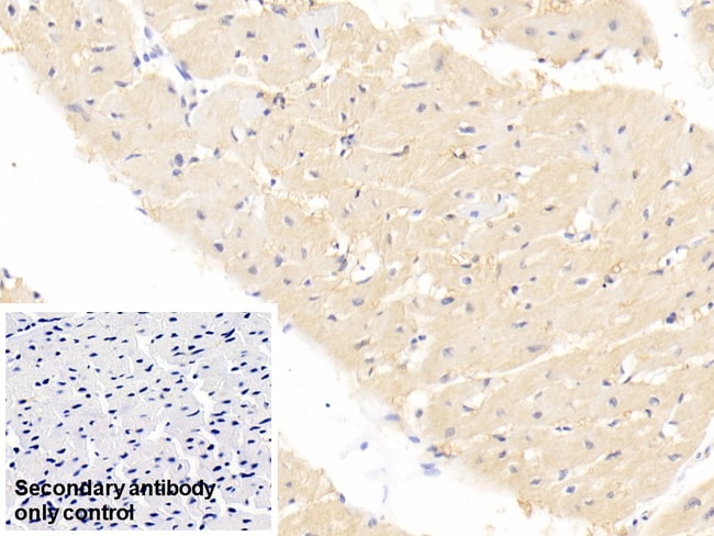
Immunohistochemistry (Paraffin), Western Blot, Western Blot | |
C12 | |
Unconjugated | |
FABP4 | |
3T3-L1 lipid-binding protein; 422/aP2; adipocyte fatty acid binding protein; Adipocyte lipid binding protein; adipocyte lipid-binding protein; adipocyte protein aP2; adipocyte-type fatty acid-binding protein; AFABP; A-FABP; ALBP; ALBP/Ap2; Ap2; epididymis secretory protein Li 104; FABP4; fatty acid binding protein 4; Fatty acid binding protein 4 adipocyte; fatty acid binding protein 4, adipocyte; fatty acid-binding protein 4; Fatty acid-binding protein, adipocyte; HEL S 104; HEL-S-104; Lbpl; myelin P2 protein homolog; P15; P2 adipocyte protein; Protein 422 | |
Mouse | |
Protein A/G | |
RUO | |
2167, 399533, 79451 | |
Store at 4°C short term. For long term storage, store at -20°C, avoiding freeze/thaw cycles. | |
Liquid |
Product Content Correction
Your input is important to us. Please complete this form to provide feedback related to the content on this product.
Product Title
Spot an opportunity for improvement?Share a Content Correction