Promotional price valid on web orders only. Your contract pricing may differ. Interested in signing up for a dedicated account number?
Learn More
Learn More
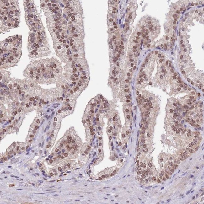
Invitrogen™ FAM120AOS Polyclonal Antibody
Rabbit Polyclonal Antibody
Supplier: Invitrogen™ PA554421
Description
Immunogen sequence: KSSMLPPKQA LASAARNLCR GAGCNRQAVA GQLLPSTWSL HAHGLAKEAP ILPVKKISRS CSVNNKVSKK TTKPPTLRSF LSP Highest antigen sequence identity to the following orthologs: Mouse - 25%, Rat - 26%.

Specifications
FAM120AOS | |
Polyclonal | |
Unconjugated | |
FAM120AOS | |
C9orf10OS; FAM120A opposite strand protein; FAM120AOS; family with sequence similarity 120A opposite strand; putative FAM120A opposite strand protein; uncharacterized protein FAM120AOS | |
Rabbit | |
Antigen affinity chromatography | |
RUO | |
158293 | |
Store at 4°C short term. For long term storage, store at -20°C, avoiding freeze/thaw cycles. | |
Liquid |
Immunohistochemistry (Paraffin) | |
0.2 mg/mL | |
PBS with 40% glycerol and 0.02% sodium azide; pH 7.2 | |
Q5T036 | |
FAM120AOS | |
Recombinant protein corresponding to Human FAM120AOS. Recombinant protein control fragment (Product #RP-93091). | |
100 μL | |
Primary | |
Human | |
Antibody | |
IgG |
Product Content Correction
Your input is important to us. Please complete this form to provide feedback related to the content on this product.
Product Title
Spot an opportunity for improvement?Share a Content Correction