Promotional price valid on web orders only. Your contract pricing may differ. Interested in signing up for a dedicated account number?
Learn More
Learn More
Invitrogen™ FAM13B Polyclonal Antibody

Rabbit Polyclonal Antibody
Supplier: Invitrogen™ PA557702
Description
Immunogen sequence: KNLQQQSVVC NNEAESIHCD GEGSNNQIDI ADDIINASES NRDCSKPVAS TNLDNEAMQQ DCVFENEENT QSVG Highest antigen sequence identity to the following orthologs: Mouse - 39%, Rat - 34%.
FAM13B is a 915 amino acid protein that is encoded by a gene that maps to human chromosome 5. With 181 million base pairs encoding around 1,000 genes, chromosome 5 is about 6% of human genomic DNA. It is associated with Cockayne syndrome through the ERCC8 gene and familial adenomatous polyposis through the adenomatous polyposis coli (APC) tumor suppressor gene. Treacher Collins syndrome is also chromosome 5 associated and is caused by insertions or deletions within the TCOF1 gene. Deletion of the p arm of chromosome 5 leads to Cri du chat syndrome. Deletion of 5q or chromosome 5 altogether is common in therapy-related acute myelogenous leukemias and myelodysplastic syndrome.
Specifications
FAM13B | |
Polyclonal | |
Unconjugated | |
FAM13B | |
2610024E20Rik; ARHGAP49; AW060714; AW546153; C5orf5; Fam13b; FAM13B1; family with sequence similarity 13 member B; family with sequence similarity 13, member B; family with sequence similarity 13, member B1; GAP-like protein N61; KHCHP; N61; protein FAM13B; RGD1310484 | |
Rabbit | |
Antigen affinity chromatography | |
RUO | |
51306 | |
Store at 4°C short term. For long term storage, store at -20°C, avoiding freeze/thaw cycles. | |
Liquid |
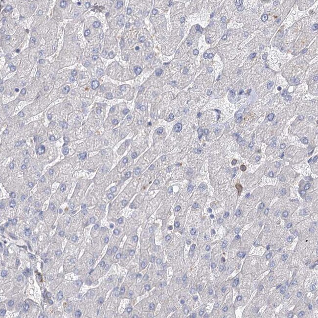
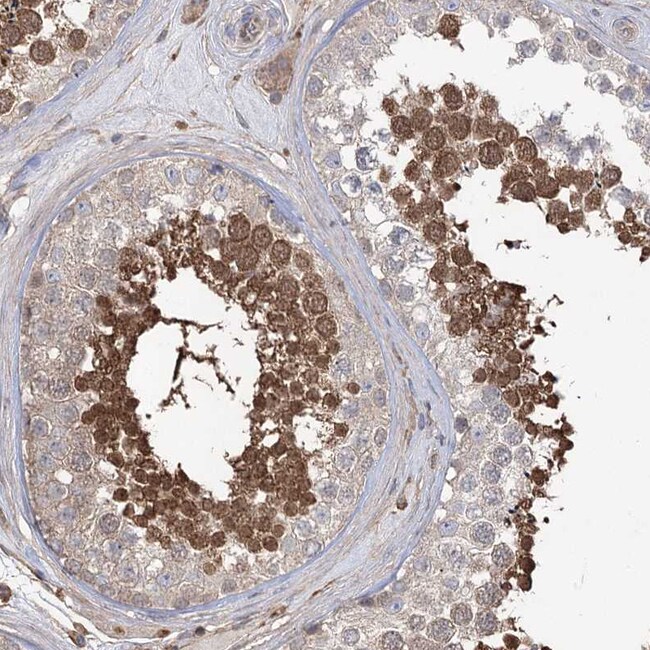
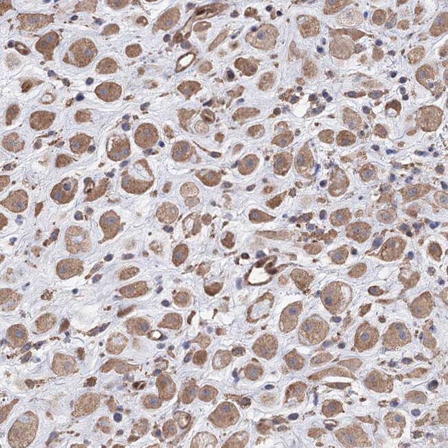
Immunohistochemistry (Paraffin) | |
0.1 mg/mL | |
PBS with 40% glycerol and 0.02% sodium azide; pH 7.2 | |
Q9NYF5 | |
FAM13B | |
Recombinant protein corresponding to Human FAM13B. Recombinant protein control fragment (Product #RP-96790). | |
100 μL | |
Primary | |
Human | |
Antibody | |
IgG |
Product Content Correction
Your input is important to us. Please complete this form to provide feedback related to the content on this product.
Product Title
Spot an opportunity for improvement?Share a Content Correction