Promotional price valid on web orders only. Your contract pricing may differ. Interested in signing up for a dedicated account number?
Learn More
Learn More
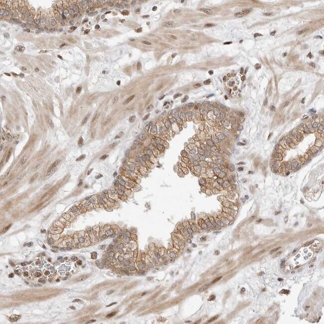
Invitrogen™ FAM150A Polyclonal Antibody

Rabbit Polyclonal Antibody
Supplier: Invitrogen™ PA555591
Description
Immunogen sequence: ARVTDKEPKP LLFLPAAGAG RTPSGSRSAE IFPRDSNLKD KFIKHFTGPV TFSPECSKHF Highest antigen sequence identity to the following orthologs: Mouse - 65%, Rat - 70%.

Specifications
FAM150A | |
Polyclonal | |
Unconjugated | |
ALKAL1 | |
ALK and LTK ligand 1; Alkal1; AUG-beta; augmentor beta; EG620393; Fam150a; family with sequence similarity 150 member A; family with sequence similarity 150, member A; protein FAM150A; RPLK9433; UNQ9433; UNQ9433/PRO34745 | |
Rabbit | |
Antigen affinity chromatography | |
RUO | |
389658 | |
Store at 4°C short term. For long term storage, store at -20°C, avoiding freeze/thaw cycles. | |
Liquid |
Immunohistochemistry (Paraffin) | |
0.1 mg/mL | |
PBS with 40% glycerol and 0.02% sodium azide; pH 7.2 | |
Q6UXT8 | |
ALKAL1 | |
Recombinant protein corresponding to Human FAM150A. Recombinant protein control fragment (Product #RP-93949). | |
100 μL | |
Primary | |
Human | |
Antibody | |
IgG |
Safety and Handling
WARNING: Cancer - www.P65Warnings.ca.gov
Product Content Correction
Your input is important to us. Please complete this form to provide feedback related to the content on this product.
Product Title
Spot an opportunity for improvement?Share a Content Correction