Promotional price valid on web orders only. Your contract pricing may differ. Interested in signing up for a dedicated account number?
Learn More
Learn More
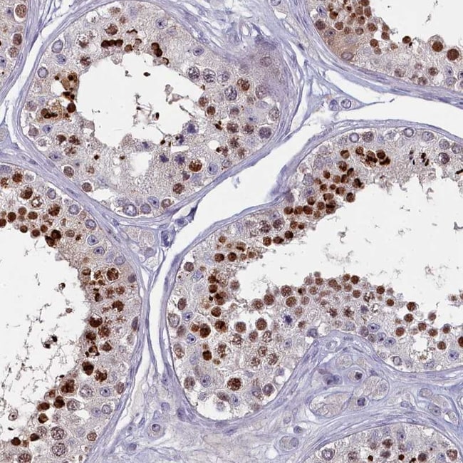
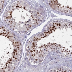
Invitrogen™ FAM196A Polyclonal Antibody

Rabbit Polyclonal Antibody
Supplier: Invitrogen™ PA557453
Description
Immunogen sequence: PSETALACSP PMQCLSPECS EQPSQTHTPP GLGNQPSPTA VAAGEECQRI VPHTEVVDLK AQLQMMENLI SSSQETIKVL LGVIQELEKG EAHREGLS Highest antigen sequence identity to the following orthologs: Mouse - 76%, Rat - 77%.
Specifications
| FAM196A | |
| Polyclonal | |
| Unconjugated | |
| FAM196A | |
| C10orf141; FAM196A; family with sequence similarity 196 member A; family with sequence similarity 196, member A; Inhibitory synaptic factor 2A; INSYN2; INSYN2A; protein FAM196A | |
| Rabbit | |
| Antigen affinity chromatography | |
| RUO | |
| 642938 | |
| Store at 4°C short term. For long term storage, store at -20°C, avoiding freeze/thaw cycles. | |
| Liquid |
| Immunohistochemistry (Paraffin) | |
| 0.3 mg/mL | |
| PBS with 40% glycerol and 0.02% sodium azide; pH 7.2 | |
| Q6ZSG2 | |
| FAM196A | |
| Recombinant protein corresponding to Human FAM196A. Recombinant protein control fragment (Product #RP-97210). | |
| 100 μL | |
| Primary | |
| Human | |
| Antibody | |
| IgG |
Safety and Handling
WARNING: Cancer - www.P65Warnings.ca.gov
Product Content Correction
Your input is important to us. Please complete this form to provide feedback related to the content on this product.
Product Title
Spot an opportunity for improvement?Share a Content Correction