Promotional price valid on web orders only. Your contract pricing may differ. Interested in signing up for a dedicated account number?
Learn More
Learn More
Invitrogen™ FAM221B Polyclonal Antibody

Rabbit Polyclonal Antibody
Supplier: Invitrogen™ PA555349
Description
Immunogen sequence: IIEEPHITMD AEKHPPSKDP SAEDLQENHI SESFLKPSTS ETPLEPHTSE SPLVPSPSQI PLEAHSPETH QEPSISETP Highest antigen sequence identity to the following orthologs: Mouse - 34%, Rat - 38%.
FAM221B is a protein coding gene.
Specifications
| FAM221B | |
| Polyclonal | |
| Unconjugated | |
| FAM221B | |
| C9orf128; FAM221B; family with sequence similarity 221 member B; family with sequence similarity 221, member B; protein FAM221B; uncharacterized protein C9orf128 | |
| Rabbit | |
| Antigen affinity chromatography | |
| RUO | |
| 392307 | |
| Store at 4°C short term. For long term storage, store at -20°C, avoiding freeze/thaw cycles. | |
| Liquid |
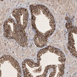
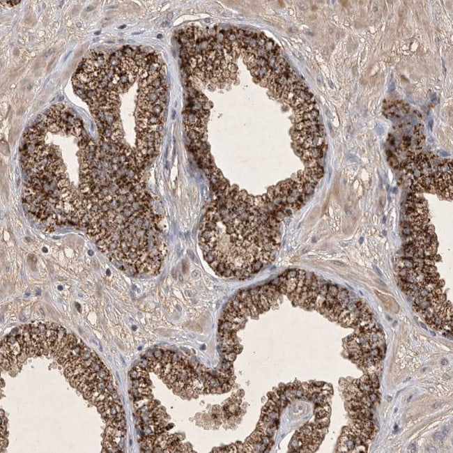
| Immunohistochemistry (Paraffin) | |
| 0.4 mg/mL | |
| PBS with 40% glycerol and 0.02% sodium azide; pH 7.2 | |
| A6H8Z2 | |
| FAM221B | |
| Recombinant protein corresponding to Human FAM221B. Recombinant protein control fragment (Product #RP-93111). | |
| 100 μL | |
| Primary | |
| Human | |
| Antibody | |
| IgG |
Product Content Correction
Your input is important to us. Please complete this form to provide feedback related to the content on this product.
Product Title
Spot an opportunity for improvement?Share a Content Correction